症例詳細
Case detail
矯正中でも艶々になるクリーニング
治療症例の内容
- 診療科目
- 治療カテゴリ
- 患者様
- 30代女性
- 治療期間
- 治療回数
- 1回
- 治療計画
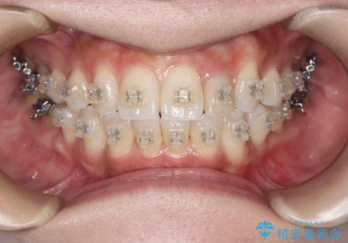
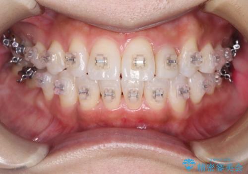
- ワイヤー矯正のため通院している患者様です。
着色は少ない口腔内でしたが、染め出しをしてエアフローを行いました。
前回のワイヤー調整時に初めてエアフロークリーニングを行った際、歯面が艶々して気持ちよかったと満足して頂きました。
今回のワイヤー調整時もエアフロークリーニングを行いました。
- 費用(概算)
- エアフロー 8800円と保険治療費費用は治療当時の料金となります
治療について
エアフローは、着色やバイオフィルム(微生物の集まり)や・歯垢を除去するので歯本来の色に近づけるだけでなく、むし歯予防にもなります。
とてもお勧めしているクリーニングです。
衛生士 宇津宮
PMTCの注意事項(リスク・副作用など)
- 歯を白くする目的の施術ではありません
- 保険適用外となります
当サイトの内容、テキスト、画像等の無断転載、複製、複写、盗用を固く禁じます。



