症例詳細
Case detail
【セラミックインレー】黒いのが気になる
治療症例の内容
- 診療科目
- 治療カテゴリ
- 担当医
- 木本百栄(ドクタープロフィール)
- 患者様
- 20代女性
- 治療期間
- 1ヶ月
- 治療回数
- 2-5回
- 治療計画
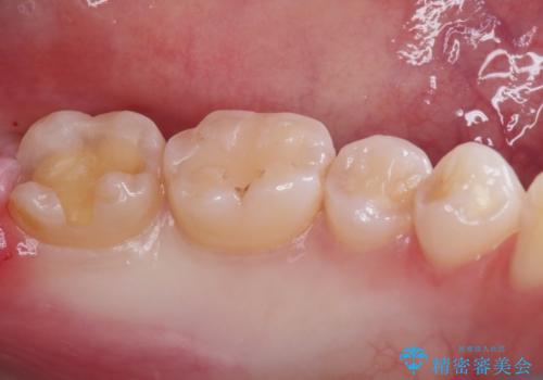
- 一番奥の歯の古い材料が劣化してしまい、欠けて黒くなっているのが気になるとの事でした。
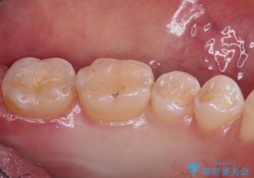
詰め物のやりかえを提案したところ、セラミックインレーをご希望されたのでセラミックインレーにて治療をすることにしました。
- 費用(概算)
- 77,000円(税込)費用は治療当時の料金となります
治療について
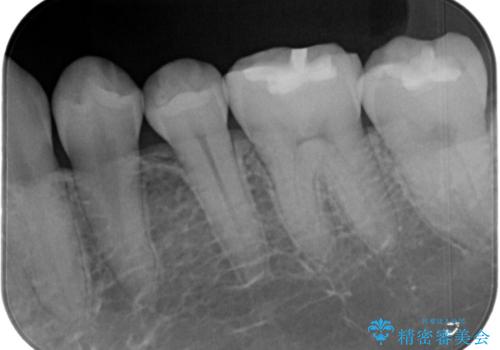
古い材料と虫歯を除去して、型取りをしました。
適合も非常に良く、綺麗になりました。
今後は定期的にクリーニングに通っていただき経過を見ていく予定です。
セラミック治療の注意事項(リスク・副作用など)
- 天然歯を削ります
- 硬い素材は天然歯を傷つけてしまう場合があります
- かみ合わせや歯ぎしりが強すぎる方はセラミックが割れてしまう可能性があります
- 自費診療(保険適用外治療)となります
当サイトの内容、テキスト、画像等の無断転載、複製、複写、盗用を固く禁じます。





