症例詳細
Case detail
クラウンレングスニング 歯の高径が不足 インビザライン治療の前処置(歯周外科処置)
治療症例の内容
- 診療科目
- 治療カテゴリ
- 担当医
- 井上季実子(ドクタープロフィール)
- 患者様
- 30代女性
- 治療期間
- 6ヶ月
- 治療回数
- 2-5回
- 治療計画
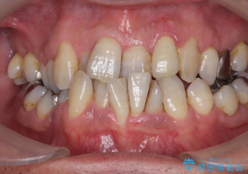
- 矯正治療を希望して来院。
矯正治療前の虫歯処置として、左下6番の処置を行いました。
左下6番はCR修復でしたが、咬耗しており対合歯とのクリアランスが少ない状態でした。
高さが非常に低いため、セラミッククラウンをかぶせることが難しい状態でした。
(金属アレルギーのため、ゴールドクラウンも選択肢から除外されました。)
高径が低いとマウスピース矯正でもしっかり動かすことが難しいため、矯正治療前にまずクラウンレングスニングを行い、矯正用の仮歯を装着しました。
- 費用(概算)
- 歯周外科治療 10万円費用は治療当時の料金となります
治療について
金属アレルギーのため、矯正後はセラミッククラウン修復予定です。
セラミック治療の注意事項(リスク・副作用など)
- 天然歯を削ります
- 硬い素材は天然歯を傷つけてしまう場合があります
- かみ合わせや歯ぎしりが強すぎる方はセラミックが割れてしまう可能性があります
- 自費診療(保険適用外治療)となります
当サイトの内容、テキスト、画像等の無断転載、複製、複写、盗用を固く禁じます。












