症例詳細
Case detail
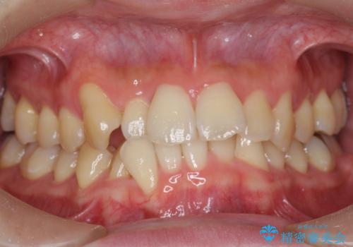
ねじれ・がたつきのある前歯を改善
治療症例の内容
- 診療科目
- 担当医
- 大元洋佑(ドクタープロフィール)
- 患者様
- 20代男性
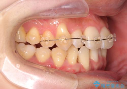
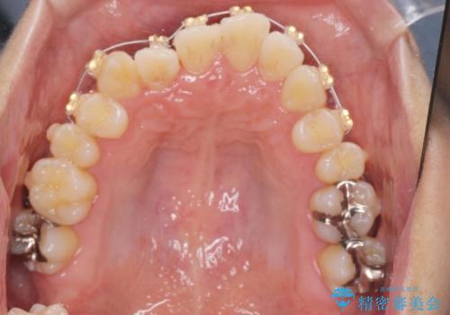
- 矯正装置
- インビザライン +部分ワイヤー矯正
- 治療期間
- 2年
- 治療回数
- 30回以上
- 治療計画
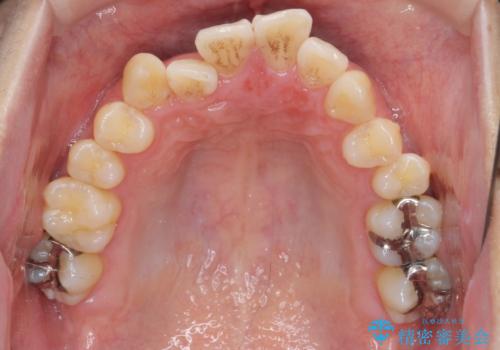
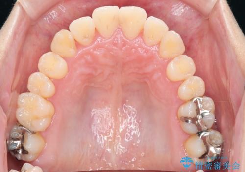
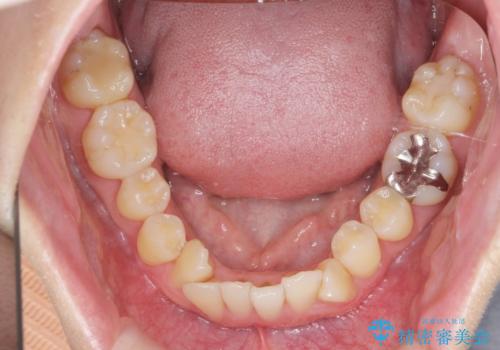
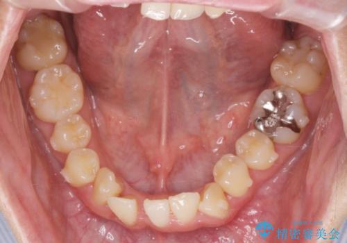
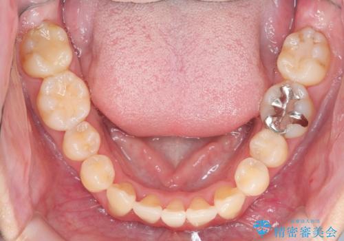
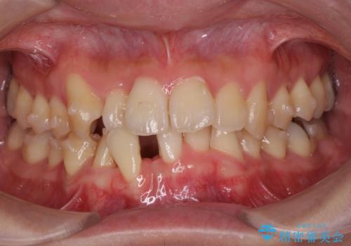
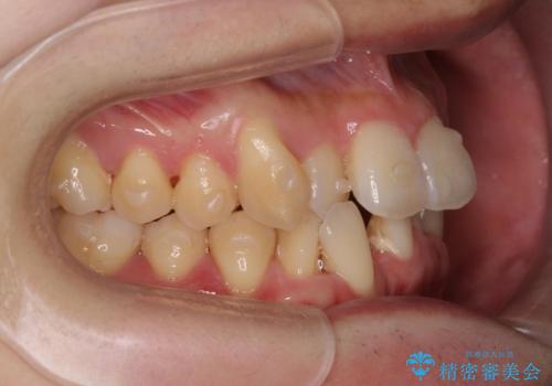
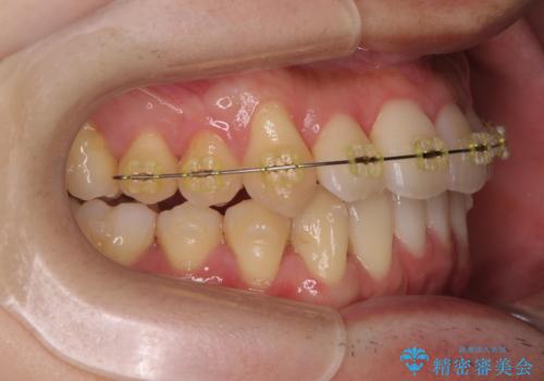
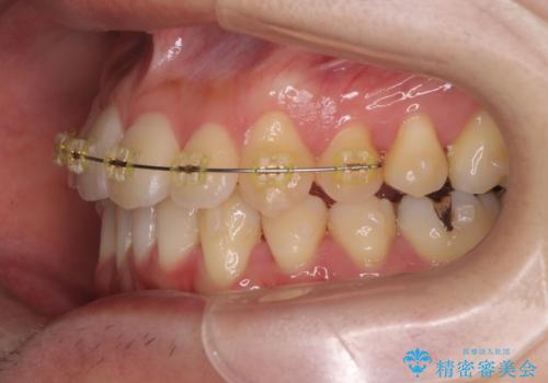
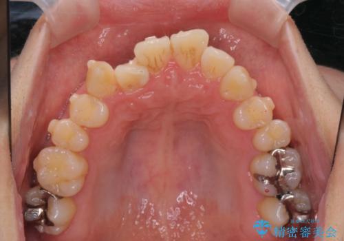
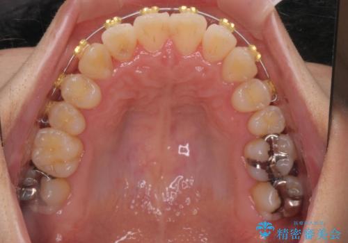
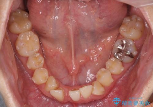
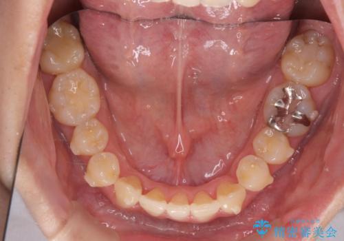
- がたつき・すれ違い、ねじれのある前歯の見た目、噛み合わせの改善を希望され来院されました。
4本の小臼歯抜歯を避け、下顎前歯の1本抜歯の極力少ない抜歯本数で審美的な歯並びを得る治療計画としました。
すれ違いを治すのが得意な前歯部の部分ワイヤーを用いることで、治療期間を短縮することができました。
- 費用(概算)
- 99万円費用は治療当時の料金となります
治療について
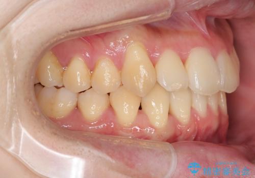
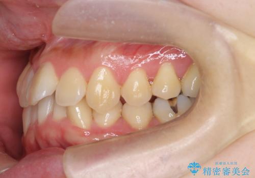
見た目の改善だけでなく、噛みやすくなったことにも満足いただくことができました。
マウスピース矯正の注意事項(リスク・副作用など)
- 口腔内・歯並びの状態によっては対応できない場合があります
- マウスピース型矯正装置の長時間装着(1日20時間以上)が必須です
- 治療計画通りに進めるためには、患者様の意志が重要になります
- 矯正治療後の保定が不十分だと後戻り(元の位置に戻ろうとする動き)をします
- 薬機法対象外の矯正歯科装置のため医薬品副作用被害救済制度の対象外となる場合があります
- 自費診療(保険適用外)となります
当サイトの内容、テキスト、画像等の無断転載、複製、複写、盗用を固く禁じます。

























