症例詳細
Case detail
舌の動きを改善する舌小帯形成術
治療症例の内容
- 診療科目
- 治療カテゴリ
- 担当医
- 大元洋佑(ドクタープロフィール)
- 患者様
- 20代男性
- 治療期間
- 治療回数
- 1回
- 治療計画
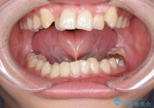
- 舌の動きが悪く話しづらい、舌小帯の形成術を希望され来院されました。
10分程度の小手術を、即日行い滑舌の改善を計画します。
- 費用(概算)
- 3.3万円費用は治療当時の料金となります
治療について
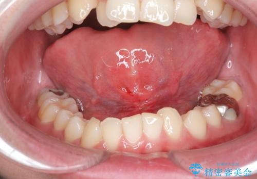
抜糸は1週間後に行い、処置は終了となります。
外科処置の注意事項(リスク・副作用など)
- 外科手術のため、術後に出血、痛みや腫れ、違和感を伴います
- 口腔内の状態によっては適応できないことがあります
当サイトの内容、テキスト、画像等の無断転載、複製、複写、盗用を固く禁じます。






