症例詳細
Case detail
詰め物が欠けたまま放置は危険?見えにくい奥歯のトラブルに注意
治療症例の内容
- 診療科目
- 治療カテゴリ
- 担当医
- 齋藤佑磨(ドクタープロフィール)
- 患者様
- 40代女性
- 治療期間
- 1ヶ月
- 治療回数
- 2-5回
- 治療計画
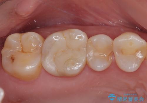
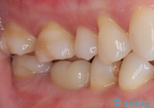
- 今回は、「右上の詰め物が欠けてしまった」という主訴で来院された、40代女性の患者さんの症例をご紹介します。
診察の結果、上顎右側第二小臼歯に装着されていた詰め物の一部が欠けている状態でした。一見すると小さな欠けに見えますが、詰め物が破損した部分はプラーク(歯垢)が非常に溜まりやすく、虫歯の再発リスクが高い状態になります。
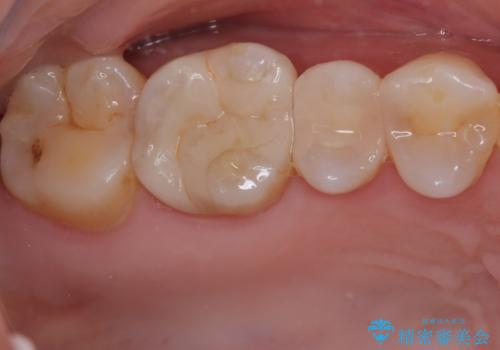
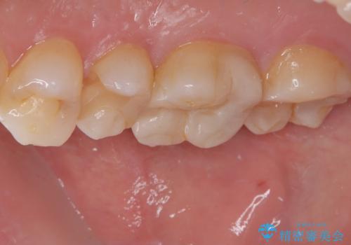
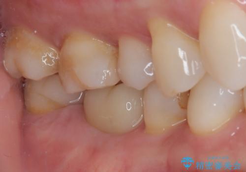
まず、欠けていた詰め物と、その下に存在していた虫歯をすべて丁寧に除去しました。その後、適合性・耐久性・審美性に優れたセラミックインレーを用いて修復処置を行いました。
- 費用(概算)
- 8万円(税込)費用は治療当時の料金となります
治療について
今回のように、奥歯の詰め物の欠けはご自身では気づきにくいケースも多くあります。違和感がなくても、内部で虫歯が進行していることも少なくありません。
そのため、定期的な歯科医院でのチェックとメンテナンスがとても重要です。早期に発見できれば、歯を削る量を最小限に抑えた治療が可能になります。
セラミック治療の注意事項(リスク・副作用など)
- 天然歯を削ります
- 硬い素材は天然歯を傷つけてしまう場合があります
- かみ合わせや歯ぎしりが強すぎる方はセラミックが割れてしまう可能性があります
- 自費診療(保険適用外治療)となります
当サイトの内容、テキスト、画像等の無断転載、複製、複写、盗用を固く禁じます。









