症例詳細
Case detail
詰め物が欠けたのでやり替えたい セラミックインレー修復
治療症例の内容
- 診療科目
- 治療カテゴリ
- 担当医
- 有澤哲郎(ドクタープロフィール)
- 患者様
- 20代男性
- 治療期間
- 1ヶ月
- 治療回数
- 2-5回
- 治療計画
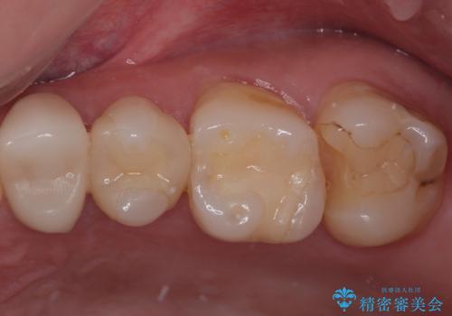
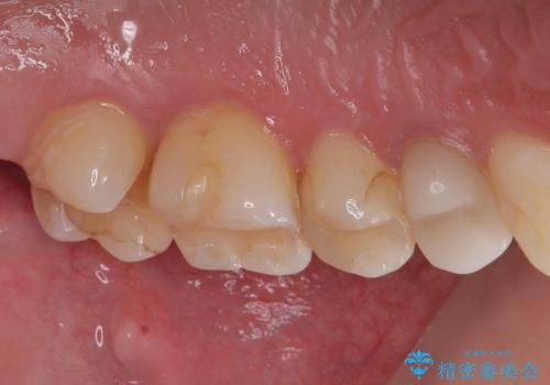
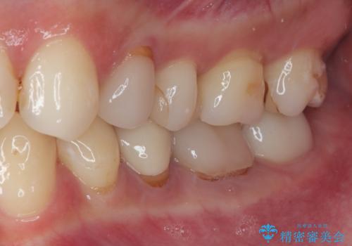
- プラスチックの詰め物が取れたとのことで来院された患者様です。神経の状態を検査し、正常な状態を確認してから残っている自分の歯の量を考慮しセラミックインレーにて修復しました。
拡大鏡視野下でコンポジットレジン、虫歯の除去を行い、セラミックインレーに適した形に整えました。
歯と歯茎の間に圧排糸と言われる糸を入れてシリコーン印象材にて精密な型どりをしました。
セラミックインレーの装着時には、唾液の侵入を防ぐために、ラバーダム防湿を行いました。
- 費用(概算)
- 8万円(税込み)費用は治療当時の料金となります
セラミックインレー修復について
セラミックインレーは、むし歯で削った部分に天然歯に近い白さと透明感をもつセラミック素材を詰める治療です。
金属を使わないため、見た目が自然で、金属アレルギーの心配もありません。
汚れや着色がつきにくく、精密に作製することで歯とのすき間が少なく、再発リスクを抑えられるのも大きなメリットです。
見た目の美しさと長期的な健康を重視したい方におすすめの治療です。
セラミック治療の注意事項(リスク・副作用など)
- 天然歯を削ります
- 硬い素材は天然歯を傷つけてしまう場合があります
- かみ合わせや歯ぎしりが強すぎる方はセラミックが割れてしまう可能性があります
- 自費診療(保険適用外治療)となります
その他の注意事項(リスク・副作用など)
- 担当歯科医師、歯科衛生士又は医院スタッフから受けた説明・注意事項をよくご確認ください
- 医療を提供するに当たり、適切な説明を行い、患者様の十分な理解を得るよう努めております
当サイトの内容、テキスト、画像等の無断転載、複製、複写、盗用を固く禁じます。









