症例詳細
Case detail
矯正後、矮小歯をオールセラミッククラウンで審美修復
治療症例の内容
- 診療科目
- 治療カテゴリ
- 担当医
- 河野豊嘉(ドクタープロフィール)
- 患者様
- 20代女性
- 治療期間
- 1ヶ月
- 治療回数
- 2-5回
- 治療計画
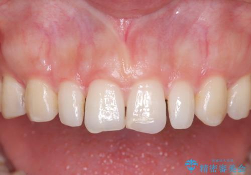
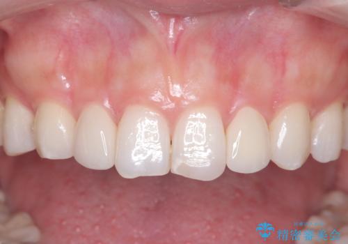
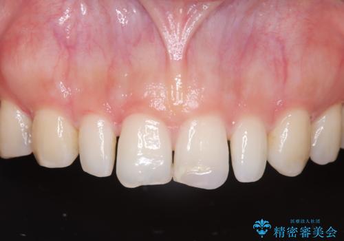
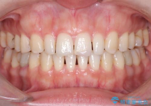
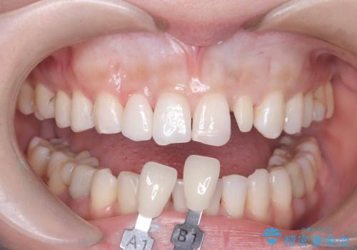
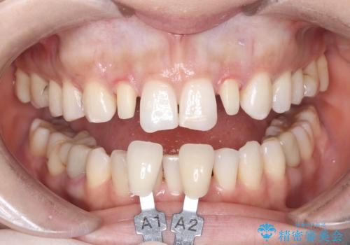
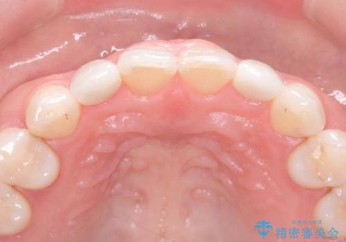
- 歯並びを矯正で整えたあと、上顎左右2番の歯(前歯の横の歯)の「矮小歯(歯が小さい状態)をオールセラミッククラウンで審美修復した症例です。
- 費用(概算)
- 税込330,000円(オールセラミッククラウンスペシャル154,000×2本+仮歯11,000円×2本)費用は治療当時の料金となります
治療について
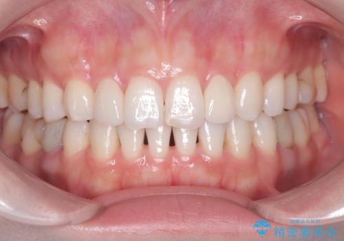
矯正によって歯並びはきれいに整いましたが、前歯全体のバランスをより自然で美しく仕上げるため、上顎左右2番にオールセラミッククラウンによる審美修復を行いました。
矮小歯はもともと歯が小さいため、削る量を最小限に抑えた負担の少ない治療が可能です。
また、自然な色合いや形になるよう、歯科技工士と連携し、写真を撮影しながら細かく色合わせを行い、周囲の歯になじむよう丁寧に仕上げています。
矯正治療後に、「歯の大きさや形が気になる」「前歯の完成度をもう一段階上げたい」という方に適した治療です。
セラミック治療の注意事項(リスク・副作用など)
- 天然歯を削ります
- 硬い素材は天然歯を傷つけてしまう場合があります
- かみ合わせや歯ぎしりが強すぎる方はセラミックが割れてしまう可能性があります
- 自費診療(保険適用外治療)となります
当サイトの内容、テキスト、画像等の無断転載、複製、複写、盗用を固く禁じます。














