症例詳細
Case detail
「歯を抜かずに、たった10ヵ月。」目立ちにくい大人の矯正
治療症例の内容
- 診療科目
- 担当医
- 河野豊嘉(ドクタープロフィール)
- 患者様
- 30代女性
- 矯正装置
- ワイヤー(審美装置)
- 治療期間
- 10ヶ月
- 治療回数
- 5-10回
- 治療計画
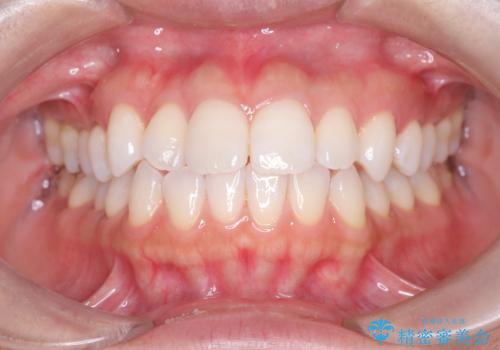
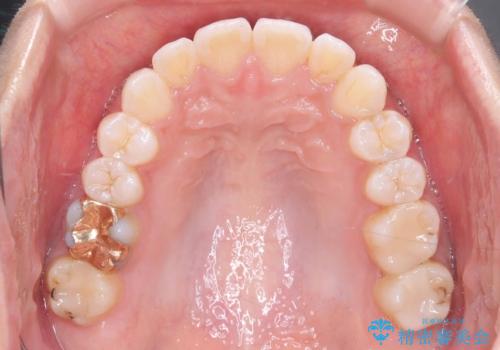
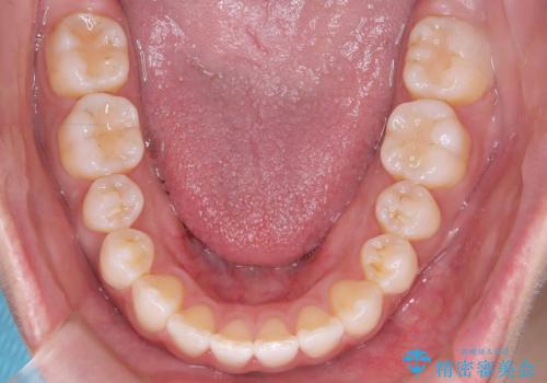
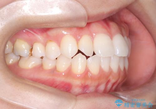
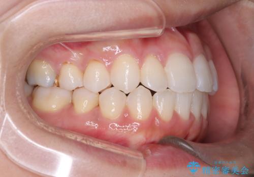
- 歯の捻じれやデコボコを主訴にご来院された患者様です。
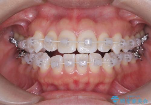
矯正治療の精密検査を行った結果、非抜歯(歯を抜かない)矯正治療を選択いたしました。
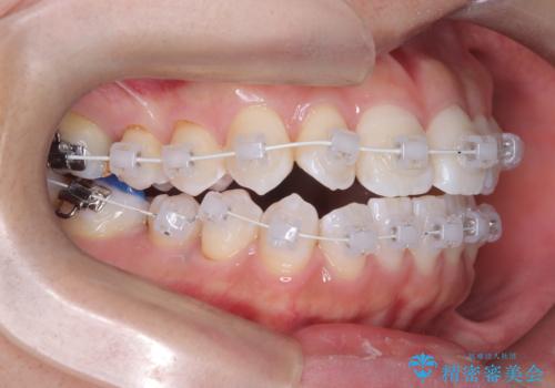
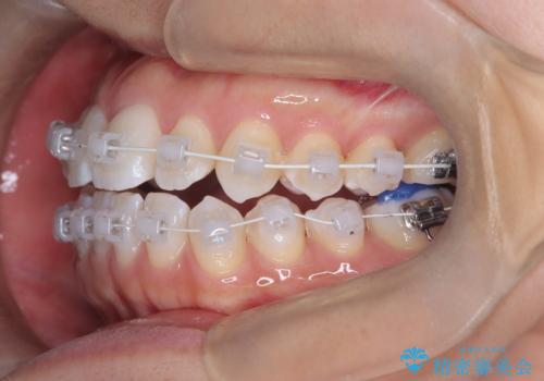
治療は、白いコーティングが施されたワイヤーを使用した審美性の高い装置にて行っています。
- 費用(概算)
- 税込770,000円(通院費込み)費用は治療当時の料金となります
治療について
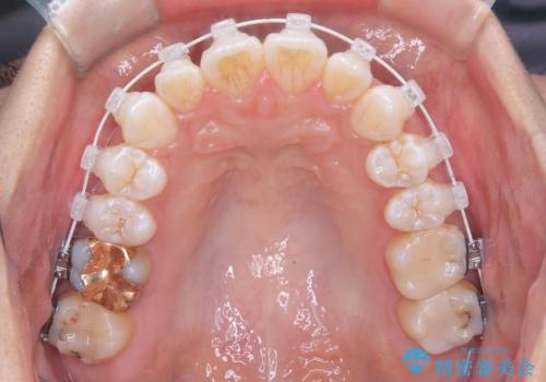
本症例では、治療の途中で**バイトアップ(咬み合わせを一時的に挙上する処置)**を行い、
上下の歯が干渉しない環境を作りながら、捻転や叢生の改善を進めました。
これにより、歯を無理に動かすことなく、効率的かつ安全に歯列を整えることが可能となります。
装置には、ワイヤーに白いコーティングが施された審美性の高いワイヤー矯正装置を使用し、
治療中も目立ちにくい配慮を行いました。
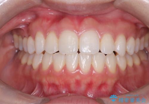
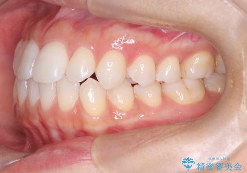
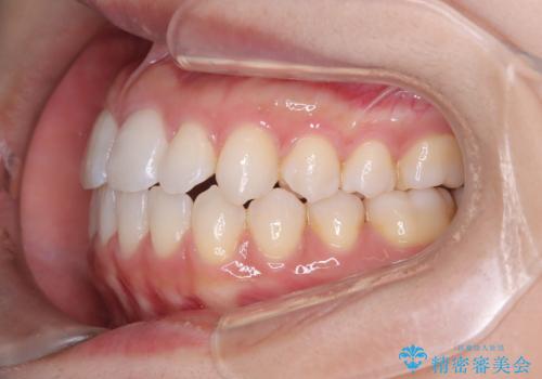
その結果、約10ヵ月という比較的短期間で歯列と咬み合わせが整い、機能面・審美面ともに良好な結果を得ることができました。
ワイヤー矯正の注意事項(リスク・副作用など)
- 治療中は違和感や痛みが起こることがあります
- 症状により、抜歯が必要な場合があります
- 治療中は歯磨きがしにくくなるため、虫歯や歯周病になりやすくなります
- 矯正治療後の保定が不十分だと後戻り(元の位置に戻ろうとする動き)をします
- 自費診療(保険適用外)となります
当サイトの内容、テキスト、画像等の無断転載、複製、複写、盗用を固く禁じます。























