症例詳細
Case detail
歯に食べ物がはさまる 色も揃えたい オールセラミックで治療
治療症例の内容
- 診療科目
- 治療カテゴリ
- 担当医
- 榊原康平(ドクタープロフィール)
- 患者様
- 20代
- 治療期間
- 1ヶ月
- 治療回数
- 2-5回
- 治療計画
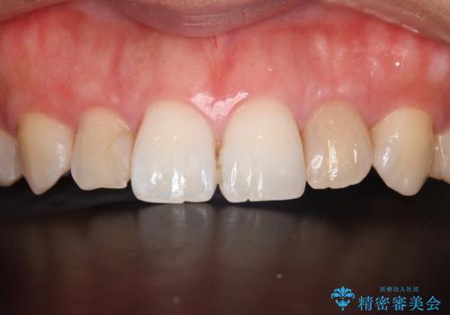
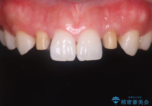
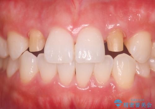
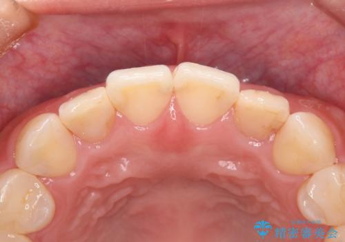
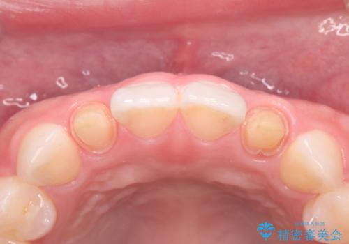
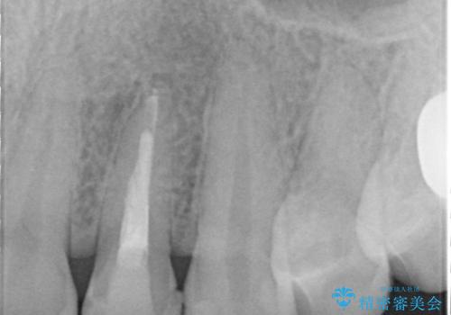
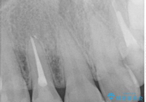
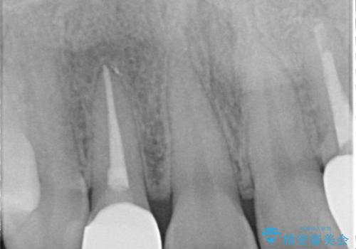
- 食べ物が歯間にはさまることを主訴に来院された患者様です。レントゲンより上顎両側切歯に根管治療が実施されていますが、被せ物が入っておらず、充填物に劣化像もみられました。歯の色の差も気にされていたのでオールセラミッククラウンにて治療いたしました。
- 費用(概算)
- 352000円費用は治療当時の料金となります
治療について
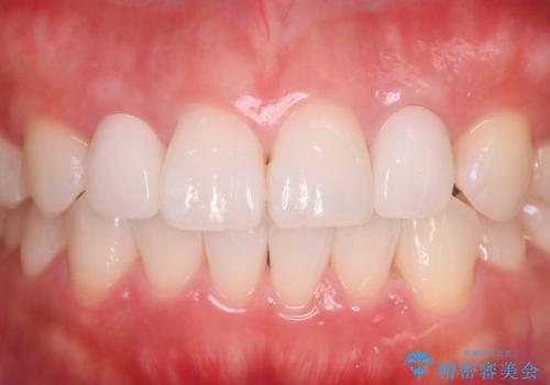
より歯の色をきれいに見せたいという希望があったため、ホワイトニングも実施いたしました。食べ物の詰まりも改善し、きれいな仕上がりになったので非常に満足いただけました。
セラミック治療の注意事項(リスク・副作用など)
- 天然歯を削ります
- 硬い素材は天然歯を傷つけてしまう場合があります
- かみ合わせや歯ぎしりが強すぎる方はセラミックが割れてしまう可能性があります
- 自費診療(保険適用外治療)となります
当サイトの内容、テキスト、画像等の無断転載、複製、複写、盗用を固く禁じます。













