症例詳細
Case detail
前歯のがたつきをマウスピース矯正で改善。IPRと遠心移動による非抜歯インビザライン治療
治療症例の内容
- 診療科目
- 治療カテゴリ
- 担当医
- 河口智英(ドクタープロフィール)
- 患者様
- 30代女性
- 矯正装置
- インビザライン
- 治療期間
- 1年6ヶ月
- 治療回数
- 5-10回
- 治療計画
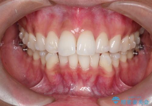
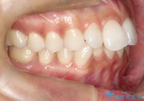
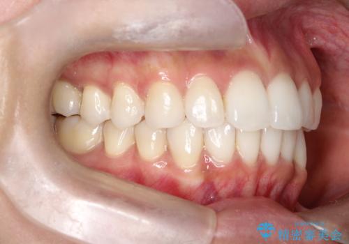
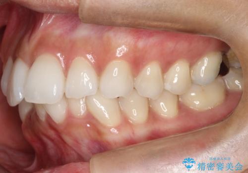
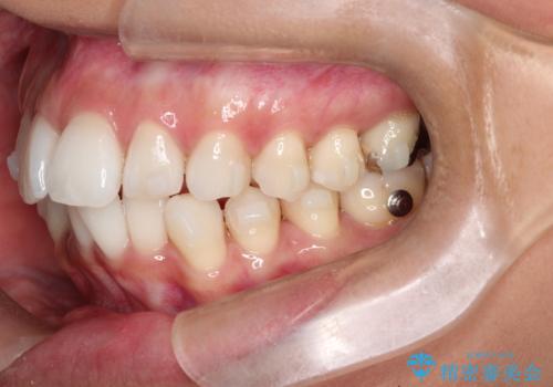
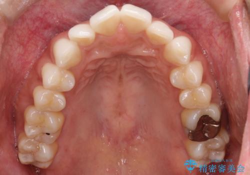
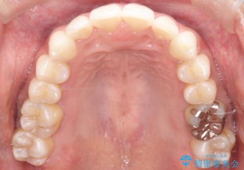
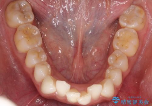
- 前歯の重なり(叢生)をきれいに整えたいという主訴でご来院されました。
精密検査の結果、歯を並べるためのスペースが不足していましたが、抜歯をせずに改善したいというご希望があったため、IPR(歯の側面をわずかに削る処置)と、奥歯を後ろに動かす「遠心移動」を組み合わせる計画を立案。透明なマウスピース装置であるインビザラインを使用し、無理のない範囲でスペースを確保しながら歯列を整えることとしました。
- 費用(概算)
- 80万円費用は治療当時の料金となります
治療について
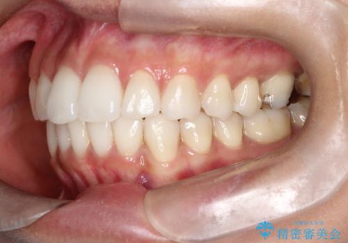
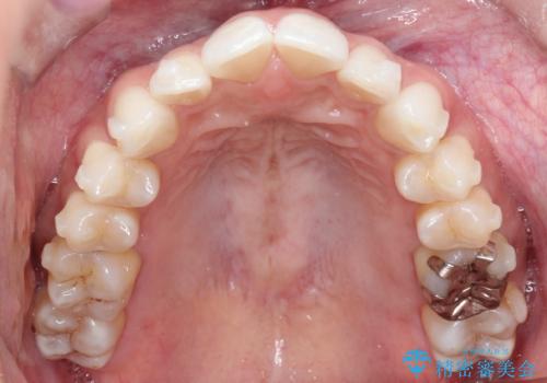
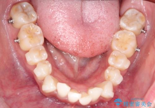
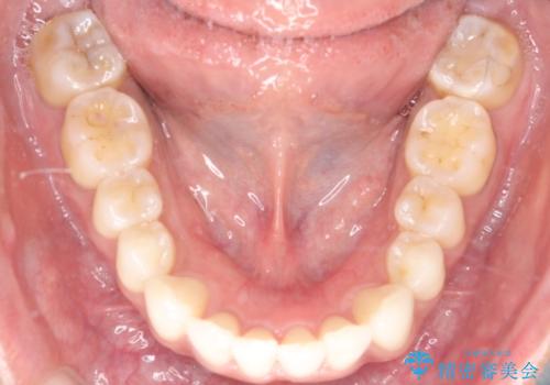
治療では、マウスピースの設計に基づき、奥歯から順に後ろへ移動させる遠心移動を行い、前歯のためのスペースを作りました。同時に、数箇所の歯の間にIPRを施すことで、歯の健康に影響のない範囲で精密に隙間を確保しました。
1年半の治療期間を経て、重なり合っていた前歯はスムーズに整列し、理想的なアーチ状の歯並びへと改善されました。抜歯を行わずに治療を完了したことで、噛み合わせのバランスを維持しながら、審美性を大きく向上させることができました。現在は保定期間に入り、美しい状態を維持されています。
マウスピース矯正の注意事項(リスク・副作用など)
- 口腔内・歯並びの状態によっては対応できない場合があります
- マウスピース型矯正装置の長時間装着(1日20時間以上)が必須です
- 治療計画通りに進めるためには、患者様の意志が重要になります
- 矯正治療後の保定が不十分だと後戻り(元の位置に戻ろうとする動き)をします
- 薬機法対象外の矯正歯科装置のため医薬品副作用被害救済制度の対象外となる場合があります
- 自費診療(保険適用外)となります
当サイトの内容、テキスト、画像等の無断転載、複製、複写、盗用を固く禁じます。















