症例詳細
Case detail
目立たないマウスピースで八重歯を解消。右上5番の抜歯スペースを活用したインビザライン矯正
治療症例の内容
- 診療科目
- 治療カテゴリ
- 担当医
- 河口智英(ドクタープロフィール)
- 患者様
- 30代女性
- 矯正装置
- インビザライン
- 治療期間
- 1年10ヶ月
- 治療回数
- 10-30回
- 治療計画
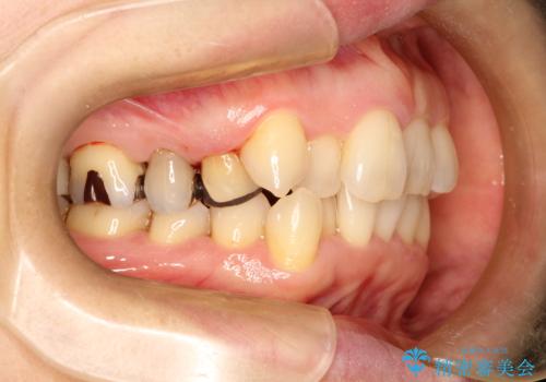
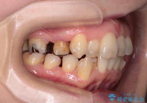
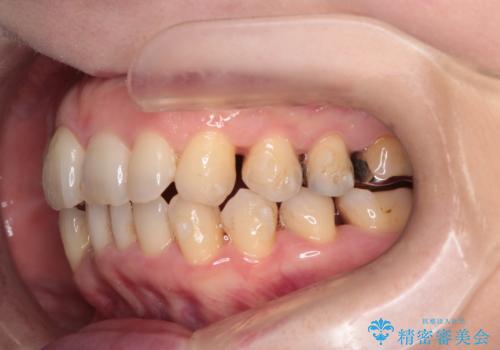
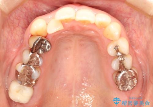
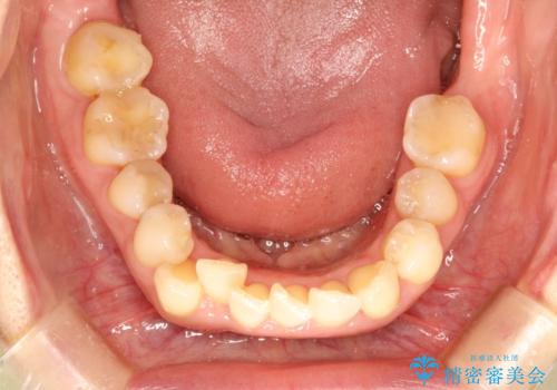
- 右上の八重歯(犬歯の突出)と、それに伴う歯並びのがたつきを主訴にご来院されました。精密検査の結果、八重歯を正しい位置に収めるためのスペースが大幅に不足していることが分かりました。
通常、矯正治療では4番目の歯を抜歯することが多いですが、今回は歯の状態や全体の噛み合わせのバランスを考慮し、右上5番(第二小臼歯)を抜歯してスペースを確保する計画を立案。装置には、周囲に気づかれずに治療を進めたいというご希望に合わせて、透明なマウスピース型のインビザラインを採用しました。
- 費用(概算)
- 90万円費用は治療当時の料金となります
治療について
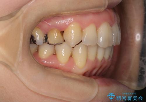
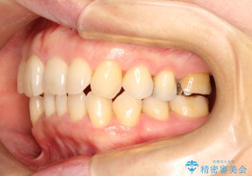
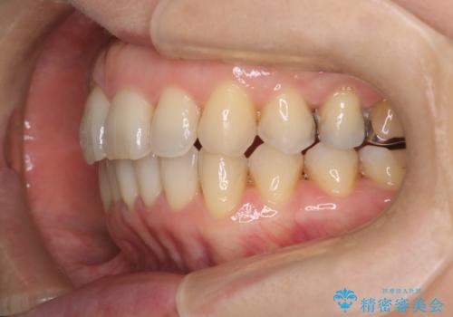
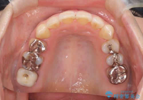
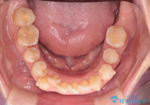
今回の治療では、右上5番の抜歯スペースを活用して八重歯(3番)を後方へ誘導しました。
インビザライン独自の3Dシミュレーションに基づき、必要な歯だけをピンポイントで動かすことで、抜歯を伴う大きな移動も効率的に行いました。
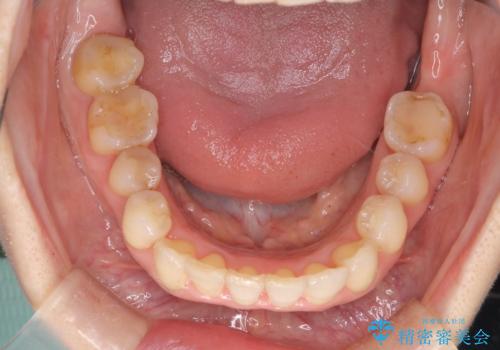
治療の結果、突出していた八重歯はきれいなアーチに収まり、左右対称でバランスの取れた口元になりました。インビザラインは自由に取り外しができるため、治療期間中も口腔内を清潔に保ちやすく、患者様もストレスなく治療を完了されました。
マウスピース矯正の注意事項(リスク・副作用など)
- 口腔内・歯並びの状態によっては対応できない場合があります
- マウスピース型矯正装置の長時間装着(1日20時間以上)が必須です
- 治療計画通りに進めるためには、患者様の意志が重要になります
- 矯正治療後の保定が不十分だと後戻り(元の位置に戻ろうとする動き)をします
- 薬機法対象外の矯正歯科装置のため医薬品副作用被害救済制度の対象外となる場合があります
- 自費診療(保険適用外)となります
当サイトの内容、テキスト、画像等の無断転載、複製、複写、盗用を固く禁じます。

















