症例詳細
Case detail
【セラミッククラウン】歯が欠けた!
治療症例の内容
- 診療科目
- 治療カテゴリ
- 担当医
- 町田睦月(ドクタープロフィール)
- 患者様
- 50代男性
- 治療期間
- 2ヶ月
- 治療回数
- 2-5回
- 治療計画
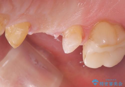
- 主訴:ブリッジの歯が一部欠けた
右上⑤4③でメタルフレームを用いたブリッジが既に入っており、その内右上5番目の歯がう蝕により欠けてしまっていました。
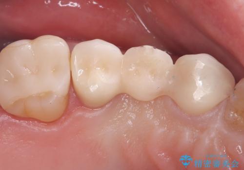
元々5番目の歯には4/5冠が入っていましたが、ブリッジのやり替えに際しクラウンとしました。
- 費用(概算)
- 330,000円(税抜き)費用は治療当時の料金となります
治療について
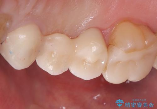
右上5はう蝕除去後は間接覆髄を行いCR裏層しています。う蝕が大きく神経症状が出ないか経過を確認しクラウンの印象を行っています。
セラミック治療の注意事項(リスク・副作用など)
- 天然歯を削ります
- 硬い素材は天然歯を傷つけてしまう場合があります
- かみ合わせや歯ぎしりが強すぎる方はセラミックが割れてしまう可能性があります
- 自費診療(保険適用外治療)となります
当サイトの内容、テキスト、画像等の無断転載、複製、複写、盗用を固く禁じます。










