症例詳細
Case detail
放置した奥歯のむし歯 ゴールドクラウン補綴治療
治療症例の内容
- 診療科目
- 治療カテゴリ
- 担当医
- 藤巻太一朗(ドクタープロフィール)
- 患者様
- 40代女性
- 治療期間
- 1ヶ月
- 治療回数
- 2-5回
- 治療計画
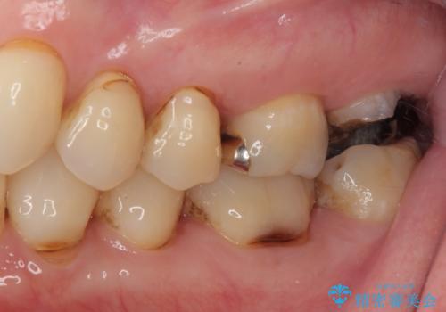
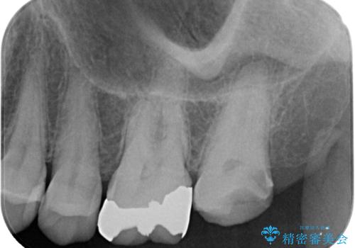
- 上の奥歯を放置してしまったとのことで来院された患者様です。
虫歯が大きいのでクラウンによる治療が必要となりますが、咬む力がとても強いために、歯と同じ堅さであるPGAクラウン(白金加金合金クラウン)をお勧めしました。
- 費用(概算)
- 16万円(税込)費用は治療当時の料金となります
治療について
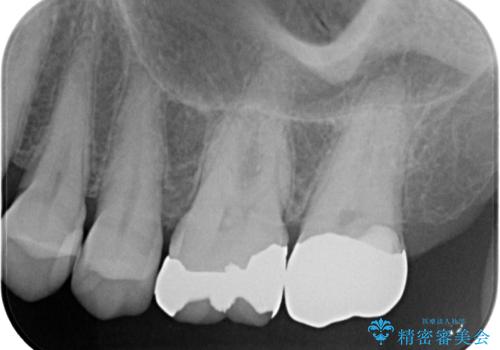
上の奥歯であることから、審美性よりも機能性を優先され、ゴールドクラウンを選択されました。
装着後の違和感など一切なく、見た目もほとんど気にならないとのことで、患者様には大変満足していただけました。
PGA(ゴールド)クラウン、インレーの注意事項(リスク・副作用など)
- インレーおよびクラウンは脱離するリスクがあります
- 形成量はセラミックより少ないですが、歯の形成、修復後に歯に症状が出ることがあります
- 自費診療(保険適用外治療)となります
当サイトの内容、テキスト、画像等の無断転載、複製、複写、盗用を固く禁じます。











