症例詳細
Case detail
出っ歯が気になる 抜歯+ワイヤー矯正治療
治療症例の内容
- 診療科目
- 担当医
- 小澤俊哉(ドクタープロフィール)
- 患者様
- 30代女性
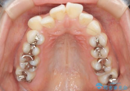
- 矯正装置
- ワイヤー審美装置
- 治療期間
- 2年
- 治療回数
- 10-30回
- 治療計画
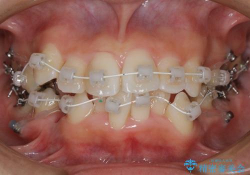
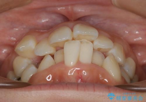
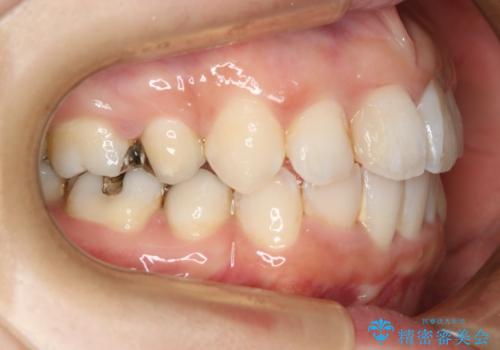
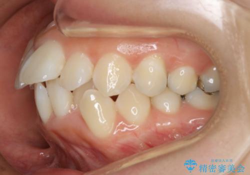
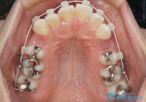
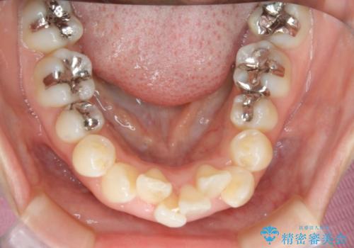
- 歯のガタつきと出っ歯が気になるので矯正治療を希望し来院された患者様です。
上下顎とも歯を並べられるスペースが無く、口元を下げたいというご希望だったので、抜歯とワイヤー矯正を併用した治療を計画しました。
- 費用(概算)
- 115万円費用は治療当時の料金となります
治療について
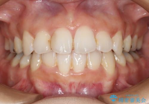
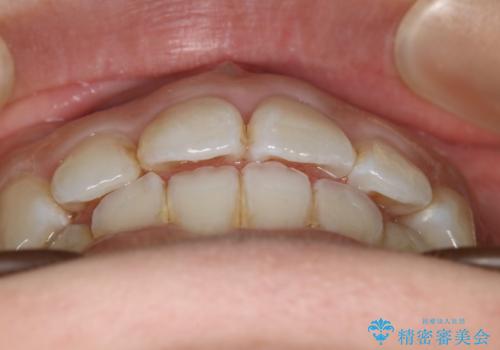
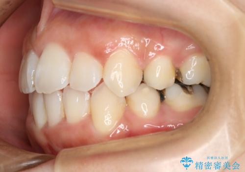
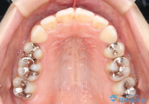
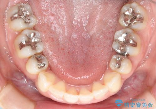
抜歯スペースを利用し口元を大きく下げることが出来ました。
ワイヤー矯正の注意事項(リスク・副作用など)
- 治療中は違和感や痛みが起こることがあります
- 症状により、抜歯が必要な場合があります
- 治療中は歯磨きがしにくくなるため、虫歯や歯周病になりやすくなります
- 矯正治療後の保定が不十分だと後戻り(元の位置に戻ろうとする動き)をします
- 自費診療(保険適用外)となります
当サイトの内容、テキスト、画像等の無断転載、複製、複写、盗用を固く禁じます。





















