症例詳細
Case detail
歯根嚢胞と瘻孔を伴う奥歯を抜歯即時インプラントで治療|一回の手術で改善!|インプラントの治療期間3か月
- 患者様
- 50代男性
- 治療期間
- 3ヶ月
- 治療回数
- 2-5回
- 治療計画
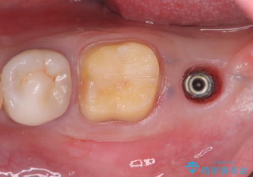
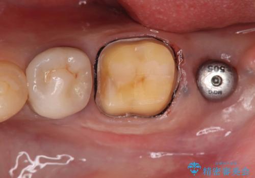
- 過去にヘミセクションが行われていたと思われる左下7番は、大きな歯根嚢胞および根尖病変が認められ、さらに骨縁下カリエスを伴っており、歯肉には瘻孔が形成されている状態でした。
保存は困難と判断し、左下7番は抜歯即時インプラントによる治療を行いました。
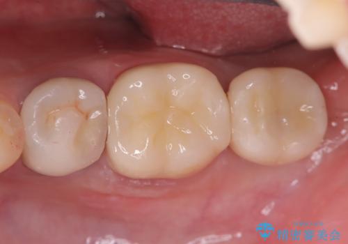
また、左下6番には形態が不自然で適合不良のセラミックインレーが装着されていたため、二次カリエスのリスクを考慮し、オールセラミッククラウンによる治療を行いました。
- 費用(概算)
- 1,012,000円(税込) ※インプラント手術費用、オールセラミッククラウン(エクセレント)を含む、治療にかかるすべての費用を含んでいます。 ※インプラントおよび被せ物はすべて10年保証となっております。費用は治療当時の料金となります
治療について
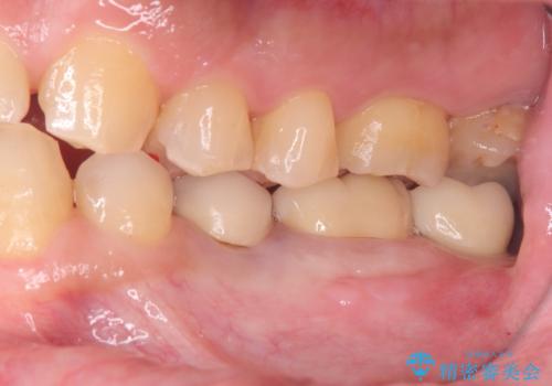
抜歯と同時にインプラントを埋入するため、歯茎を切開する必要がなく、術後の痛みが出にくい治療方法です。
手術は1回で完了し、被せ物を装着するまでの治療期間も約3か月と、身体的・時間的な負担を抑えることができます。
今回の患者様も、治療直後に痛み止めを1錠服用されたのみで、その後は痛みが出ることなく、追加の服用は不要だったとのことでした。
セラミック治療の注意事項(リスク・副作用など)
- 天然歯を削ります
- 硬い素材は天然歯を傷つけてしまう場合があります
- かみ合わせや歯ぎしりが強すぎる方はセラミックが割れてしまう可能性があります
- 自費診療(保険適用外治療)となります
インプラント治療の注意事項(リスク・副作用など)
- 外科手術のため、術後に痛みや腫れ、違和感を伴います
- メンテナンスを怠ったり喫煙により、お口の中に大きな悪影響を及ぼすインプラント周囲炎等にかかる可能性があります
- 糖尿病、肝硬変、心臓病等の場合、インプラント治療ができない可能性があります
- 高血圧、貧血・不整脈等の場合、インプラント治療後に治癒不全を招く可能性があります
- 自費診療(保険適用外治療)となります
当サイトの内容、テキスト、画像等の無断転載、複製、複写、盗用を固く禁じます。



















