症例詳細
Case detail
前歯のガタつきと逆の噛み合わせを、短期間のインビザラインで改善
治療症例の内容
- 診療科目
- 治療カテゴリ
- 担当医
- 河口智英(ドクタープロフィール)
- 患者様
- 30代男性
- 治療期間
- 6ヶ月
- 治療回数
- 5-10回
- 治療計画
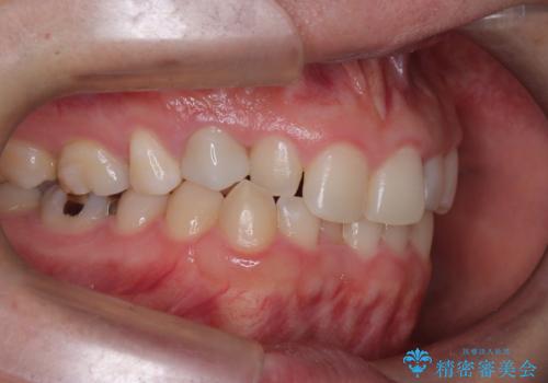
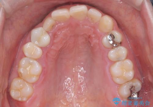
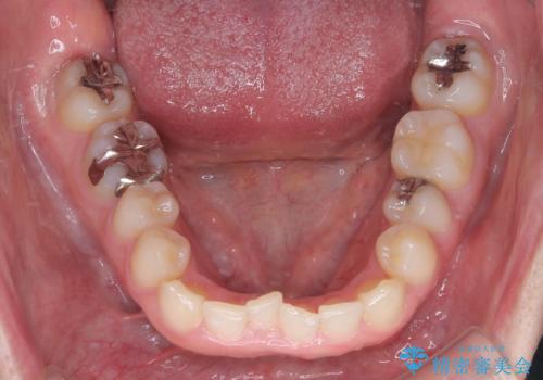
- 前歯の叢生(ガタつき)と、上下の噛み合わせが一部逆になっている反対咬合を主訴にご来院されました。精密検査の結果、前歯の移動だけでは不十分で、歯列全体のアーチを整えながらスペースを確保する必要があると診断。
中等度の症例に最適で最大26ステージ(※プランによる)のマウスピースが使用可能な**「インビザライン・モデレート」**を選択しました。これにより、抜歯をせずに歯列を横に広げ(側方拡大)、前歯を並べる十分なスペースを作りながら反対咬合を確実に改善する計画を立案しました。
- 費用(概算)
- 55万円費用は治療当時の料金となります
治療について
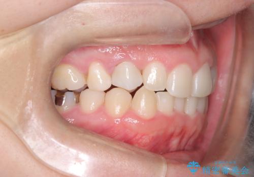
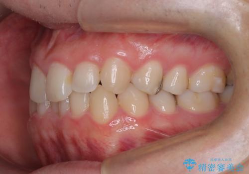
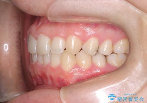
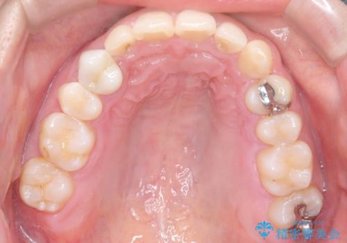
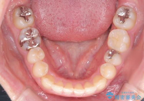
反対咬合の解消: 内側に入っていた前歯を、マウスピースの力を利用して外側へ押し出しました。同時に、下顎の歯並びも微調整することで、スムーズに正常な噛み合わせへと誘導しました。
マウスピース矯正の注意事項(リスク・副作用など)
- 口腔内・歯並びの状態によっては対応できない場合があります
- マウスピース型矯正装置の長時間装着(1日20時間以上)が必須です
- 治療計画通りに進めるためには、患者様の意志が重要になります
- 矯正治療後の保定が不十分だと後戻り(元の位置に戻ろうとする動き)をします
- 薬機法対象外の矯正歯科装置のため医薬品副作用被害救済制度の対象外となる場合があります
- 自費診療(保険適用外)となります
当サイトの内容、テキスト、画像等の無断転載、複製、複写、盗用を固く禁じます。










