症例詳細
Case detail
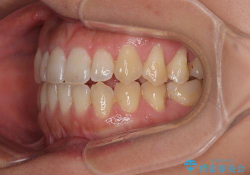
【モニター】食事が取りづらい 極端な開咬をインビザラインで解決
治療症例の内容
- 診療科目
- 治療カテゴリ
- 担当医
- 藤巻太一朗(ドクタープロフィール)
- 患者様
- 20代女性
- 矯正装置
- インビザライン
- 治療期間
- 2年
- 治療回数
- 5-10回
- 治療計画
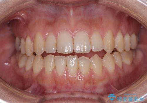
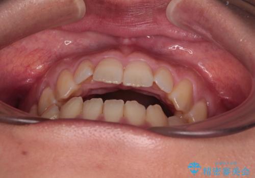
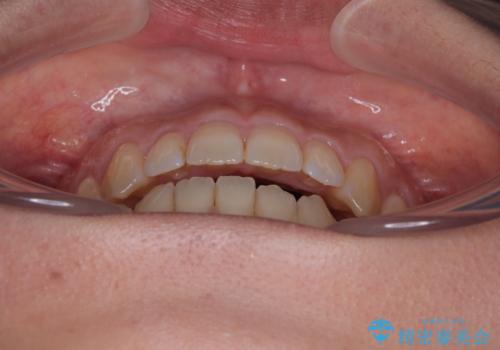
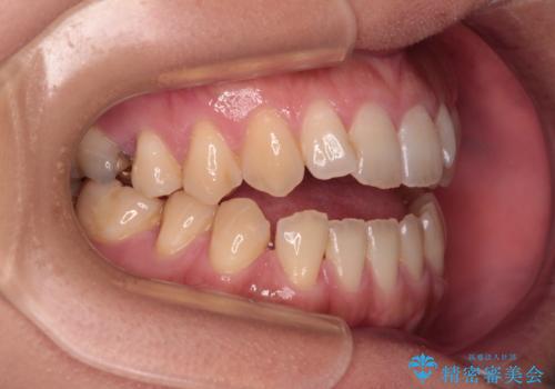
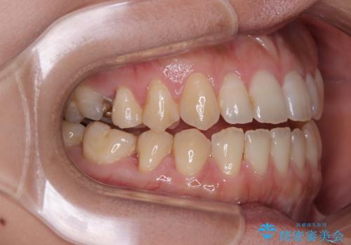
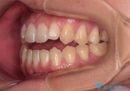
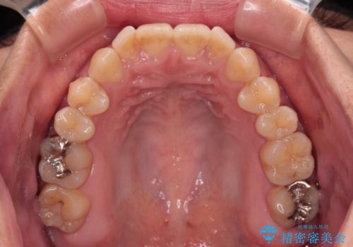
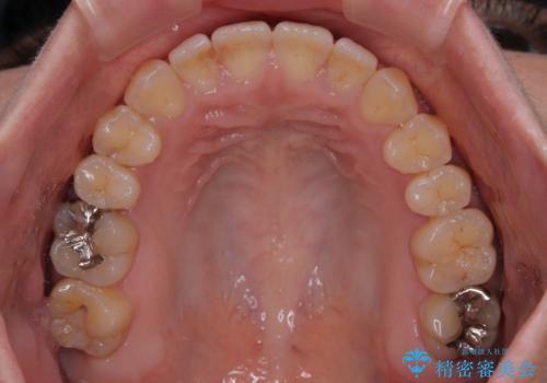
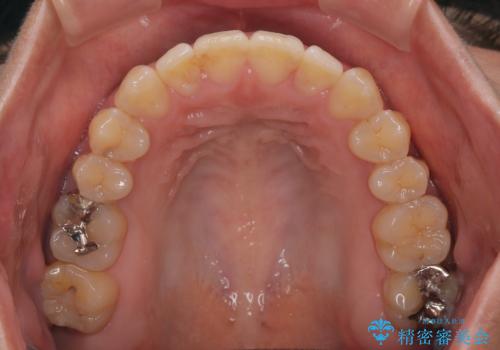
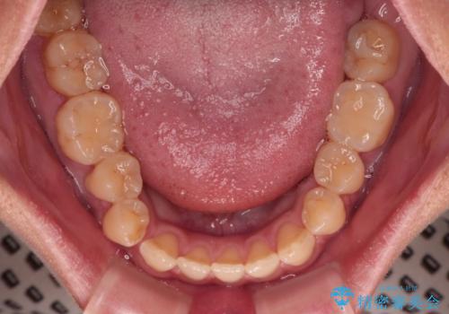
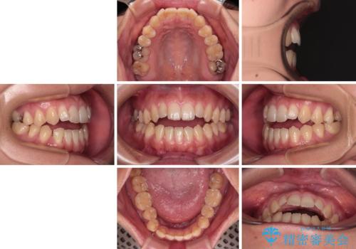
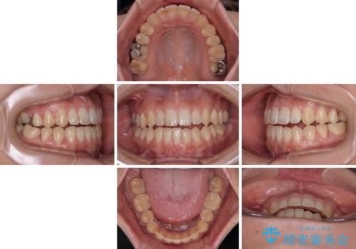
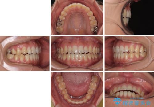
- 極端な開咬を気にして来院された患者様です。
開咬の方の特徴として、幼少期の指しゃぶりの癖や、強い舌の突出癖が挙げられます。
こちらの患者様も強い舌の突出癖が認められたため、矯正治療を行うにあたり、舌のトレーニングをしっかりと行っていただくように指示をいたしました。
開咬はインビザラインが得意とする歯列不正であるため、舌のトレーニングを行いながら、インビザラインにて矯正治療を行うこととしました。
- 費用(概算)
- 75万円(税込)費用は治療当時の料金となります
※顔写真掲載にあたり、患者様の了解を得ております
治療について
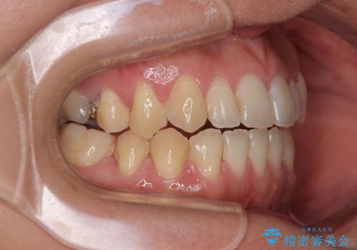
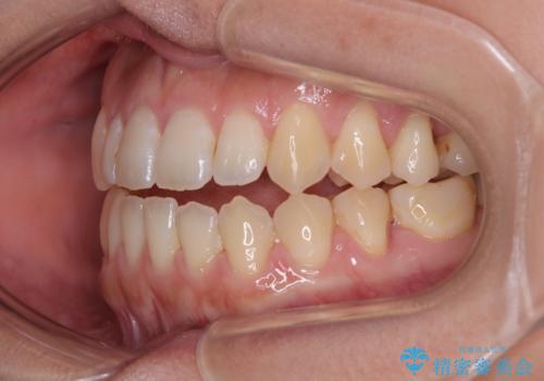
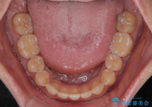
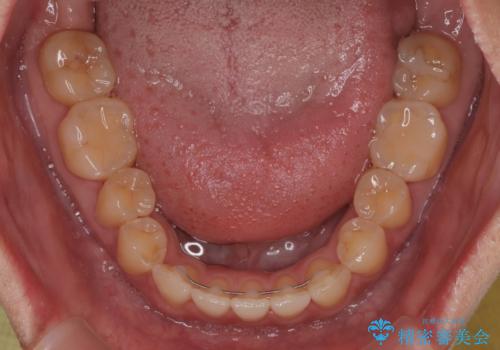
担当医としては、もっと上下の前歯を接触させるところまで治療を進めたいという思いがありますが、今まで咀嚼できなかったものが食べられるようになったということで、この状態で治療終了となりました。
マウスピース矯正の注意事項(リスク・副作用など)
- 口腔内・歯並びの状態によっては対応できない場合があります
- マウスピース型矯正装置の長時間装着(1日20時間以上)が必須です
- 治療計画通りに進めるためには、患者様の意志が重要になります
- 矯正治療後の保定が不十分だと後戻り(元の位置に戻ろうとする動き)をします
- 薬機法対象外の矯正歯科装置のため医薬品副作用被害救済制度の対象外となる場合があります
- 自費診療(保険適用外)となります
当サイトの内容、テキスト、画像等の無断転載、複製、複写、盗用を固く禁じます。



























