症例詳細
Case detail
【セラミックインレー】奥歯の詰め物とれた
治療症例の内容
- 診療科目
- 治療カテゴリ
- 担当医
- 木本百栄(ドクタープロフィール)
- 患者様
- 30代男性
- 治療期間
- 1ヶ月
- 治療回数
- 2-5回
- 治療計画
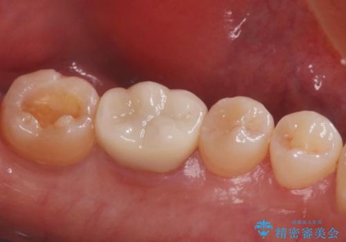
- 左下一番奥歯の詰め物が取れてしまったため治療を希望された患者様です。
詰め物が取れてしまったところは虫歯になっていたため、虫歯を綺麗に取り除いて詰め物にしていく治療計画を立てました。
- 費用(概算)
- 77,000円(税込)費用は治療当時の料金となります
治療について
詰め物の種類はセラミックインレーを希望されたため、セラミックにて治療をさせていただきました。
セラミック治療の注意事項(リスク・副作用など)
- 天然歯を削ります
- 硬い素材は天然歯を傷つけてしまう場合があります
- かみ合わせや歯ぎしりが強すぎる方はセラミックが割れてしまう可能性があります
- 自費診療(保険適用外治療)となります
当サイトの内容、テキスト、画像等の無断転載、複製、複写、盗用を固く禁じます。



