症例詳細
Case detail
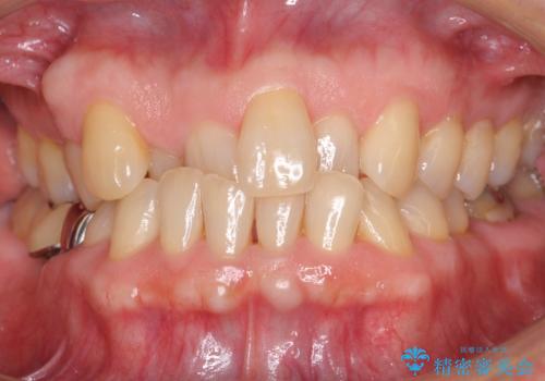
30代女性 前歯の著しいがたがた 親知らずを活用
治療症例の内容
- 診療科目
- 担当医
- 井上季実子(ドクタープロフィール)
- 患者様
- 30代女性
- 矯正装置
- 審美装置
- 治療期間
- 2年7ヶ月
- 治療回数
- 10-30回
- 治療計画
- 前歯のがたがたを主訴に来院。
前歯部過蓋咬合、上顎前歯が舌側傾斜しておりAngle Ⅱ級2類に近い状態でした。
臼歯もⅡ級の咬合関係を呈していました。
左下7を喪失していたため、左下8(親知らず)を活用し、左下は矯正治療後はブリッジも予定です。
矯正用ミニスクリューを用いて対合歯である左上7を圧下し、インプラントを入れる場合でもクリアランスを十分取れるようにしています。
- 費用(概算)
- 80万円~費用は治療当時の料金となります
治療について
左下は出産後にインレーブリッジ予定です。
親知らずを抜いてインプラントにする選択肢もあります。
ワイヤー矯正の注意事項(リスク・副作用など)
- 治療中は違和感や痛みが起こることがあります
- 症状により、抜歯が必要な場合があります
- 治療中は歯磨きがしにくくなるため、虫歯や歯周病になりやすくなります
- 矯正治療後の保定が不十分だと後戻り(元の位置に戻ろうとする動き)をします
- 自費診療(保険適用外)となります
当サイトの内容、テキスト、画像等の無断転載、複製、複写、盗用を固く禁じます。





















