症例詳細
Case detail
【オールセラミッククラウン】歯の色を合わせたい
治療症例の内容
- 診療科目
- 治療カテゴリ
- 担当医
- 榊原康平(ドクタープロフィール)
- 患者様
- 20代
- 治療期間
- 1ヶ月
- 治療回数
- 2-5回
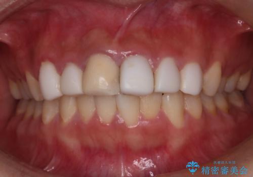
- 治療計画
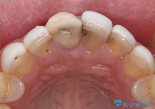
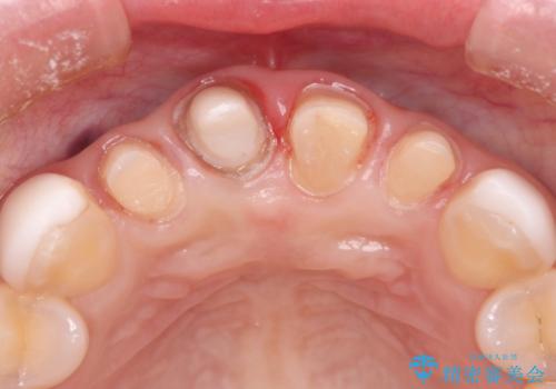
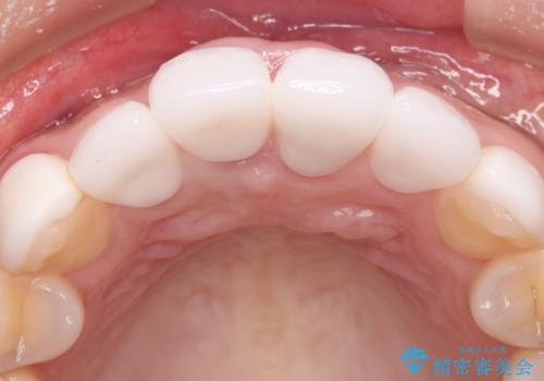
- 他院で治療した前歯の色が気になるということで来院された患者様です。前歯に色の差があり、レントゲンから内部にう蝕も見られたため、審美性に優れ、う蝕になりにくいオールセラミッククラウンで治療いたしました。
- 費用(概算)
- 528000円費用は治療当時の料金となります
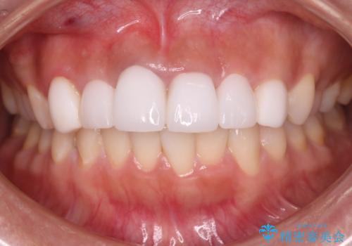
治療について
清掃性も上がったおかげで、歯肉の状態も良好に保てています。
色の調和もとれたので非常に満足いただけました。
セラミック治療の注意事項(リスク・副作用など)
- 天然歯を削ります
- 硬い素材は天然歯を傷つけてしまう場合があります
- かみ合わせや歯ぎしりが強すぎる方はセラミックが割れてしまう可能性があります
- 自費診療(保険適用外治療)となります
当サイトの内容、テキスト、画像等の無断転載、複製、複写、盗用を固く禁じます。










