症例詳細
Case detail
【ワイヤー矯正】八重歯と下の歯の凸凹を治したい
治療症例の内容
- 診療科目
-
- 治療カテゴリ
-
- 担当医
- 町田睦月(ドクタープロフィール)
- 患者様
- 20代男性
- 矯正装置
- ワイヤー矯正装置(審美装置)
- 治療期間
- 3年
- 治療回数
- 30回以上
- 治療計画
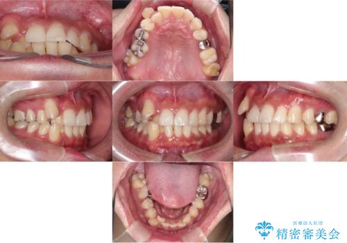
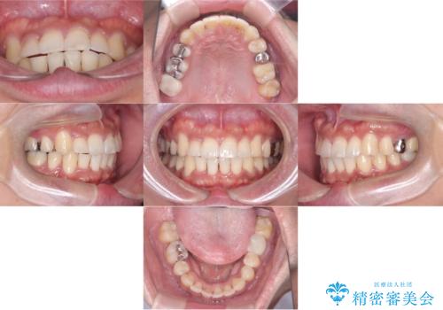
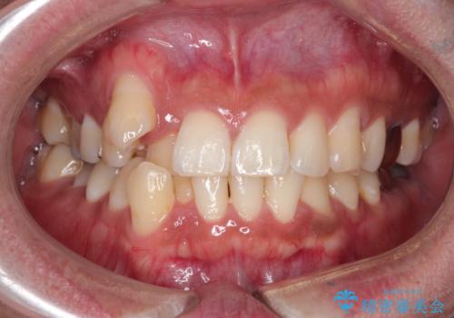
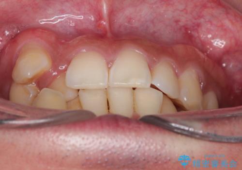
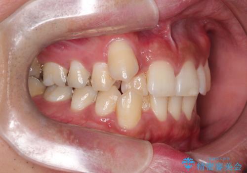
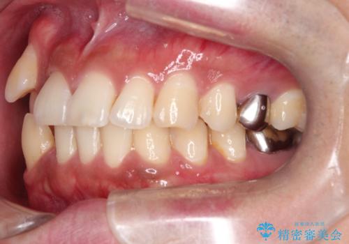
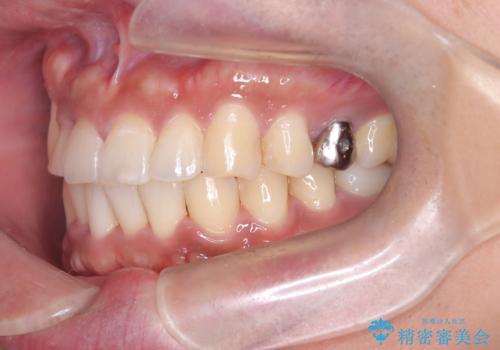
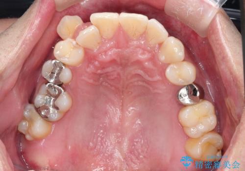
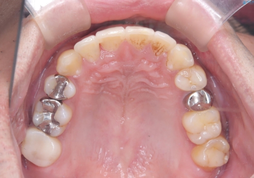
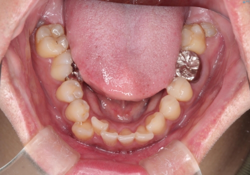
- 主訴:右上の八重歯と、下の歯の凸凹を治したい
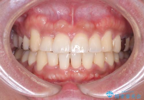
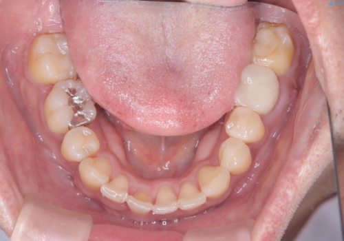
上顎右側第一小臼歯と下顎右側第一小臼歯を抜歯しワイヤー矯正を行いました。
- 費用(概算)
- 1,100,000円(税込み)費用は治療当時の料金となります
治療について
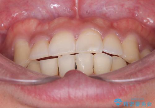
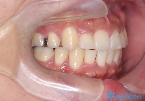
右側2級、左側1関係だったため、右側上下第一小臼歯を抜歯し、ワイヤー矯正を行いました。
期間:2年6カ月
ワイヤー矯正の注意事項(リスク・副作用など)
- 治療中は違和感や痛みが起こることがあります
- 症状により、抜歯が必要な場合があります
- 治療中は歯磨きがしにくくなるため、虫歯や歯周病になりやすくなります
- 矯正治療後の保定が不十分だと後戻り(元の位置に戻ろうとする動き)をします
- 自費診療(保険適用外)となります
当サイトの内容、テキスト、画像等の無断転載、複製、複写、盗用を固く禁じます。

















