症例詳細
Case detail
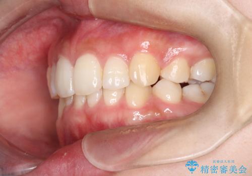
重度の歯のがたつきを、目立たない矯正と抜歯で根本改善
治療症例の内容
- 診療科目
- 治療カテゴリ
- 担当医
- 河口智英(ドクタープロフィール)
- 患者様
- 20代女性
- 矯正装置
- インビザライン
- 治療期間
- 3年
- 治療回数
- 30回以上
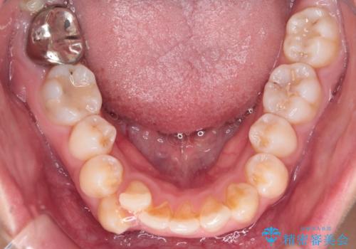
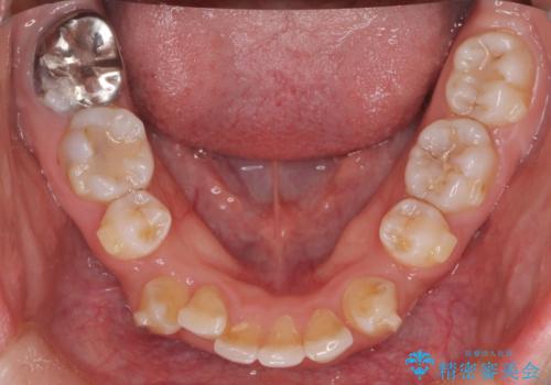
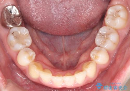
- 治療計画
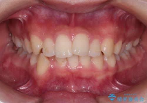
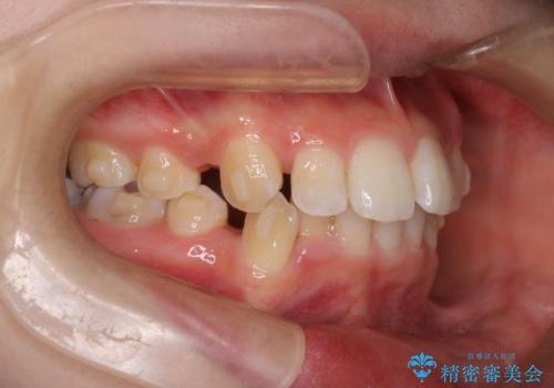
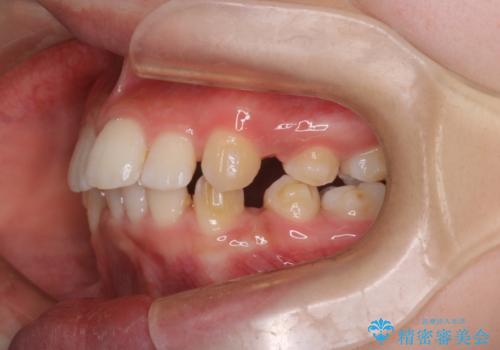
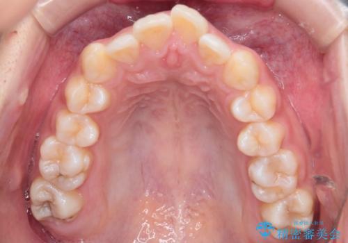
- 前歯から奥歯にかけて歯の重なりが激しい歯のがたつき(重度叢生)を主訴にご来院されました。精密検査の結果、歯が並ぶスペースが大幅に不足しており、歯並びを整え、口元を美しく引っ込めるためには、スペースの確保が必要と診断しました。そこで、上下左右の第一小臼歯(4番目の歯)を計4本抜歯し、そのスペースを利用して歯並び全体を整える抜歯矯正の治療計画を立案。装置には、透明で目立たないインビザラインを採用し、審美性と治療効果の両立を目指しました。
- 費用(概算)
- 100万円費用は治療当時の料金となります
治療について
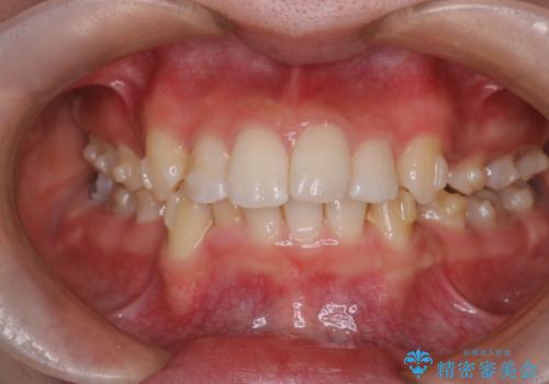
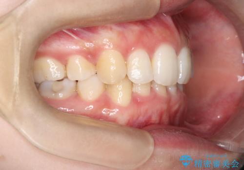
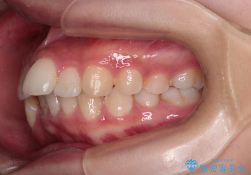
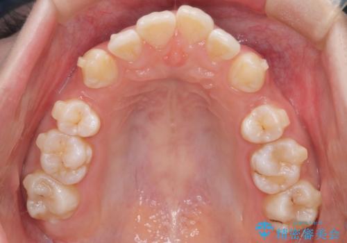
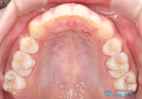
今回の治療では、重度の叢生を改善するため、まず計画通り上下左右4本の小臼歯を抜歯し、歯を並べるための十分なスペースを確保しました。装置には透明で取り外し可能なインビザラインを使用。抜歯によってできたスペースを最大限に活用し、マウスピースを定期的に交換しながら、デコボコを解消しつつ、前歯を効果的に後退させました。
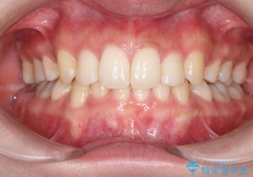
治療の結果、長年の悩みであった重度の歯のがたつきが解消され、口元の突出感も改善。機能的にも安定し、審美的にも美しい、理想的な歯並びを獲得していただけました。
マウスピース矯正の注意事項(リスク・副作用など)
- 口腔内・歯並びの状態によっては対応できない場合があります
- マウスピース型矯正装置の長時間装着(1日20時間以上)が必須です
- 治療計画通りに進めるためには、患者様の意志が重要になります
- 矯正治療後の保定が不十分だと後戻り(元の位置に戻ろうとする動き)をします
- 薬機法対象外の矯正歯科装置のため医薬品副作用被害救済制度の対象外となる場合があります
- 自費診療(保険適用外)となります
当サイトの内容、テキスト、画像等の無断転載、複製、複写、盗用を固く禁じます。















