症例詳細
Case detail
欠けた奥歯の強度を向上!PGAクラウンで安心の咬み心地を再建
治療症例の内容
- 診療科目
- 治療カテゴリ
- 担当医
- 河口智英(ドクタープロフィール)
- 患者様
- 50代男性
- 治療期間
- 2ヶ月
- 治療回数
- 2-5回
- 治療計画
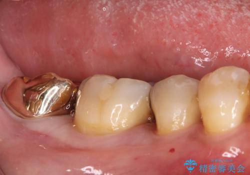
- 以前治療した右下7番(奥歯)のインレー(詰め物)が欠けてしまったことを主訴にご来院されました。診査の結果、残っている歯質が少なく、通常の詰め物では再び歯が割れてしまう破折リスクが高いと診断しました。このリスクを回避し、強い咬合力に耐えられるよう、歯全体を覆うクラウン(被せ物)による修復を提案。素材には、強度と適合性に優れたPGA(白金加金)クラウンを選択し、長期的に安定した奥歯の機能回復を目指しました。
- 費用(概算)
- 20万円費用は治療当時の料金となります
治療について
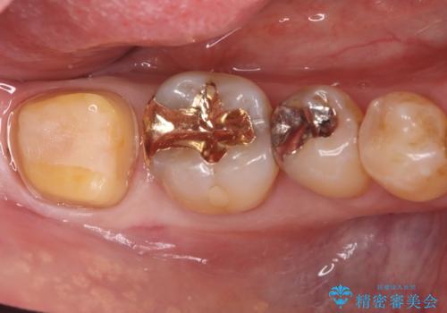
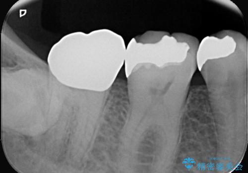
治療ではまず、欠けた部分を修復し、歯全体を均一に形成しました。その後、PGA(白金加金)クラウンを作製・装着しました。
PGAクラウンは、金(Gold)を主成分とする合金でできており、非常に優れた特性を持っています。
強度: 非常に高い強度を持つため、奥歯の強い咬合力にも耐え、歯の破折を効果的に防ぎます。
適合性: 歯への適合性が非常に高く、精密に隙間なく装着できるため、被せ物の下からの二次的な虫歯のリスクを最小限に抑えられます。
この治療により、欠けてしまった歯の構造的な弱点が解消され、患者様は硬いものでもしっかりと噛める、安心で機能的な奥歯を取り戻すことができました。
PGA(ゴールド)クラウン、インレーの注意事項(リスク・副作用など)
- インレーおよびクラウンは脱離するリスクがあります
- 形成量はセラミックより少ないですが、歯の形成、修復後に歯に症状が出ることがあります
- 自費診療(保険適用外治療)となります
当サイトの内容、テキスト、画像等の無断転載、複製、複写、盗用を固く禁じます。







