症例詳細
Case detail
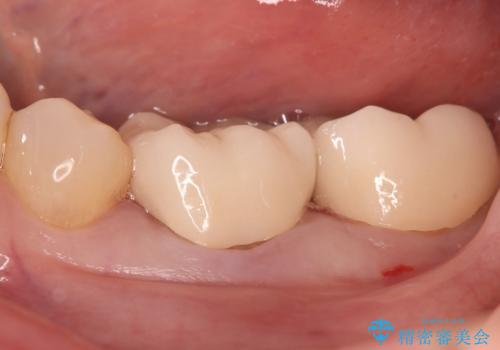
話すときに銀歯が見えて気になる セラミックでキレイに治す!
治療症例の内容
- 診療科目
- 担当医
- 榊原康平(ドクタープロフィール)
- 患者様
- 50代
- 治療期間
- 1ヶ月
- 治療回数
- 2-5回
- 治療計画
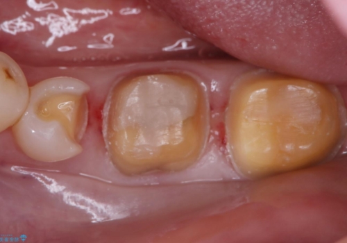
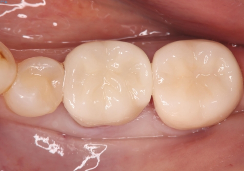
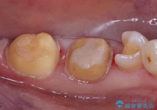
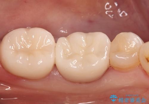
- ご友人との会話中などに、下の歯に入れてあるメタルインレーが見えてしまうのが気になり、やり変えを希望された患者様です。審美性、清掃性に優れたセラミックでの治療を希望されたため、セラミックインレー、クラウンで治療いたしました。
- 費用(概算)
- 319000円費用は治療当時の料金となります
治療について
口を開けた際の見た目が向上し、非常に満足いただけました
セラミック治療の注意事項(リスク・副作用など)
- 天然歯を削ります
- 硬い素材は天然歯を傷つけてしまう場合があります
- かみ合わせや歯ぎしりが強すぎる方はセラミックが割れてしまう可能性があります
- 自費診療(保険適用外治療)となります
当サイトの内容、テキスト、画像等の無断転載、複製、複写、盗用を固く禁じます。











