症例詳細
Case detail
【セラミッククラウン】【エクストリュージョン】抜歯はしたくない
治療症例の内容
- 診療科目
- 治療カテゴリ
- 担当医
- 町田睦月(ドクタープロフィール)
- 患者様
- 50代男性
- 治療期間
- 治療回数
- 5-10回
- 治療計画
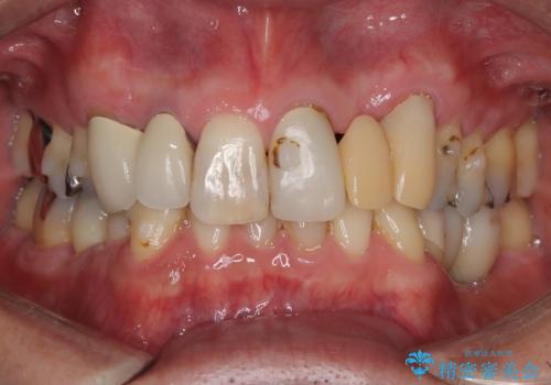
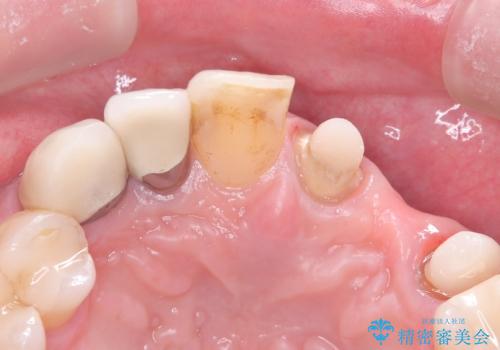
- 主訴:すっと仮歯の前歯を綺麗にしたい
左上1番目~3番目にかけてブリッジの仮歯が入った状態で来院された患者さんで、左上3に縁下カリエスを認め抜歯してインプラントか牽引(エクストリュージョン)を行うか、歯肉根尖側移動術を行うか選択いただき牽引の後補綴処置を行うこととしました。
- 費用(概算)
- 572,000円(税込み)費用は治療当時の料金となります
治療について
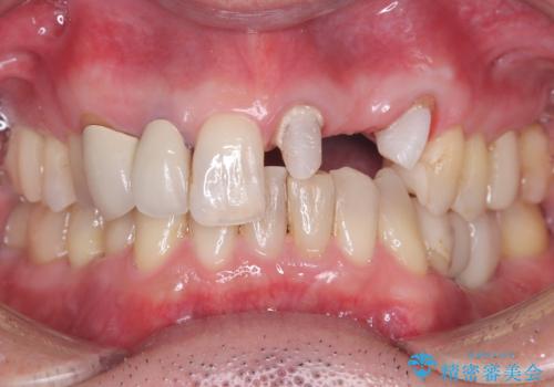
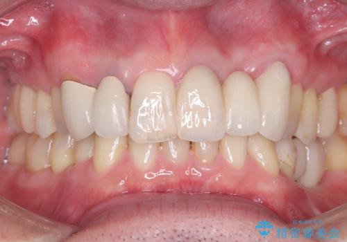
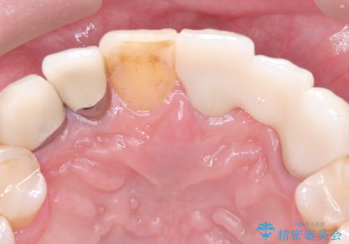
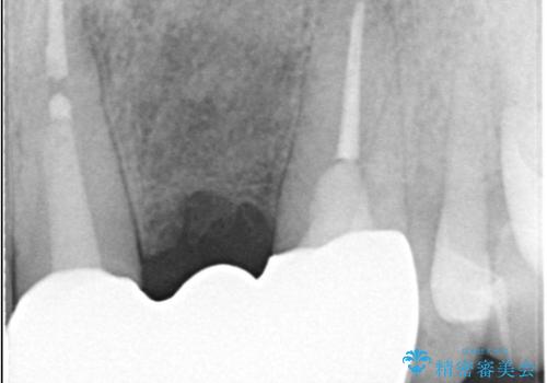
左上3の牽引を1か月半ほど行った後、補綴治療を行っています。
両支台歯とも根尖病巣は認められなかったため、ファイバ-コアからのやり替えとしました。
セラミック治療の注意事項(リスク・副作用など)
- 天然歯を削ります
- 硬い素材は天然歯を傷つけてしまう場合があります
- かみ合わせや歯ぎしりが強すぎる方はセラミックが割れてしまう可能性があります
- 自費診療(保険適用外治療)となります
その他の注意事項(リスク・副作用など)
- 担当歯科医師、歯科衛生士又は医院スタッフから受けた説明・注意事項をよくご確認ください
- 医療を提供するに当たり、適切な説明を行い、患者様の十分な理解を得るよう努めております
当サイトの内容、テキスト、画像等の無断転載、複製、複写、盗用を固く禁じます。









