症例詳細
Case detail
欠けた詰め物を精密セラミックインレーで自然に修復した症例
治療症例の内容
- 診療科目
- 治療カテゴリ
- 担当医
- 齋藤佑磨(ドクタープロフィール)
- 患者様
- 40代女性
- 治療期間
- 1ヶ月
- 治療回数
- 2-5回
- 治療計画
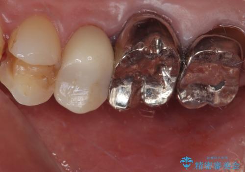
- 「右上の第一小臼歯の詰め物が外れてしまった」という主訴でご来院されました。
診査したところ、既存の詰め物の一部が欠け、歯と詰め物の境目にも段差がある状態で、再度詰め直しが必要でした。
まず残っている詰め物をすべて丁寧に除去し、二次カリエスがないかを確認したうえで、形を整えました。
歯の形態や咬み合わせが正確に反映されるように、シリコーンゴムによる精密な型どりを行いました。
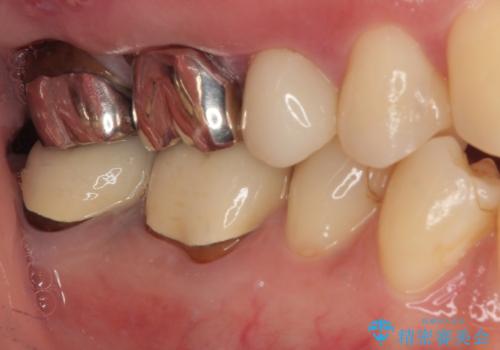
完成したセラミックインレーは精度が高く、適合性に優れているため、歯と調和した自然な仕上がりとなります。
- 費用(概算)
- 8万円(税込)費用は治療当時の料金となります
治療について
適合の良い詰め物は、二次齲蝕のリスクが低いです。
セラミック治療の注意事項(リスク・副作用など)
- 天然歯を削ります
- 硬い素材は天然歯を傷つけてしまう場合があります
- かみ合わせや歯ぎしりが強すぎる方はセラミックが割れてしまう可能性があります
- 自費診療(保険適用外治療)となります
当サイトの内容、テキスト、画像等の無断転載、複製、複写、盗用を固く禁じます。









