症例詳細
Case detail
歯を入れたい インプラント+セラミッククラウン
治療症例の内容
- 担当医
- 小澤俊哉(ドクタープロフィール)
- 患者様
- 40代男性
- 治療期間
- 5ヶ月
- 治療回数
- 5-10回
- 治療計画
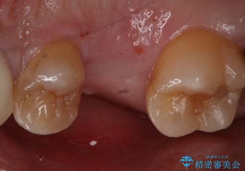
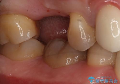
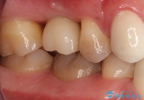
- 右上6番の歯の欠損部の治療を希望され来院された患者様です。
インプラント治療を希望されたので、インプラントとセラミッククラウンでの治療を計画しました。
- 費用(概算)
- 40万円費用は治療当時の料金となります
治療について
歯の欠損部への治療には入れ歯・ブリッジ・インプラントという治療が選択されますが、インプラント治療は天然歯を削ることなく治療を行うことが出来ます。
インプラント治療の注意事項(リスク・副作用など)
- 外科手術のため、術後に痛みや腫れ、違和感を伴います
- メンテナンスを怠ったり喫煙により、お口の中に大きな悪影響を及ぼすインプラント周囲炎等にかかる可能性があります
- 糖尿病、肝硬変、心臓病等の場合、インプラント治療ができない可能性があります
- 高血圧、貧血・不整脈等の場合、インプラント治療後に治癒不全を招く可能性があります
- 自費診療(保険適用外治療)となります
当サイトの内容、テキスト、画像等の無断転載、複製、複写、盗用を固く禁じます。











