症例詳細
Case detail
クロスバイトを治したい インビザラインによる矯正治療
治療症例の内容
- 診療科目
- 治療カテゴリ
- 担当医
- 藤巻太一朗(ドクタープロフィール)
- 患者様
- 40代女性
- 矯正装置
- インビザライン
- 治療期間
- 1年10ヶ月
- 治療回数
- 5-10回
- 治療計画
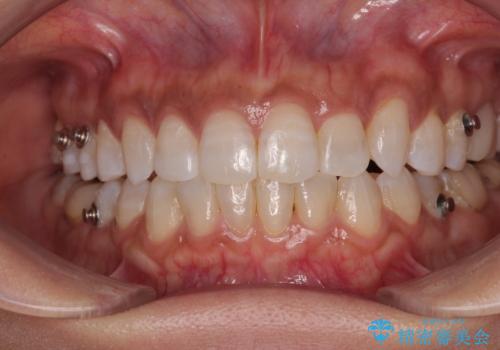
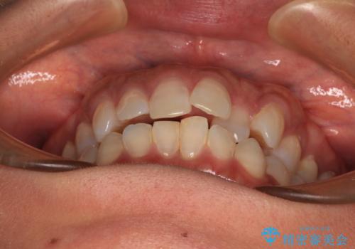
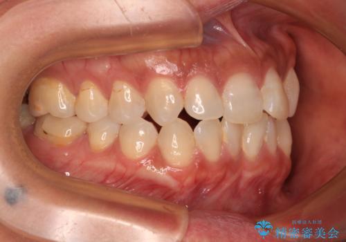
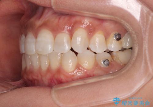
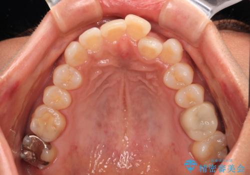
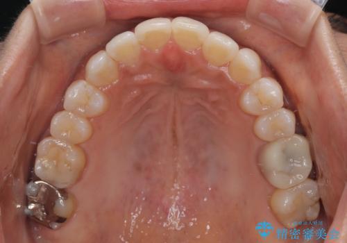
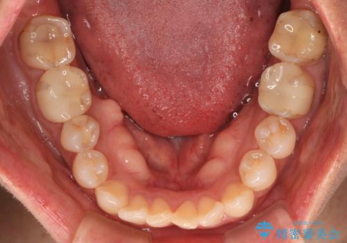
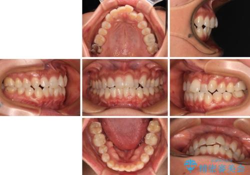
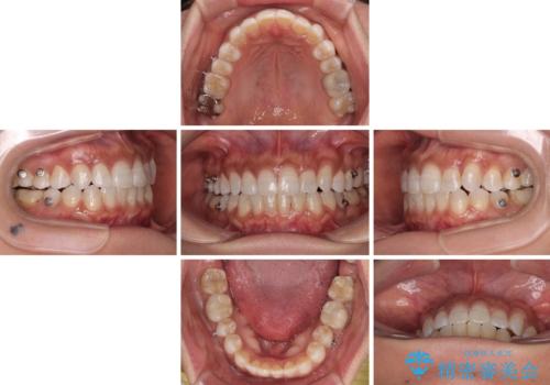
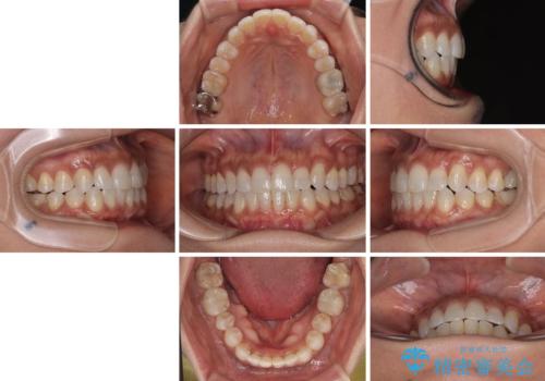
- 前歯のクロスバイトを気にして来院された患者様です。
上下ともに、前歯部を中心にやや叢生が認められる程度であったため、ワイヤーでもインビザラインでも、どちらでも対応可能な状態でした。
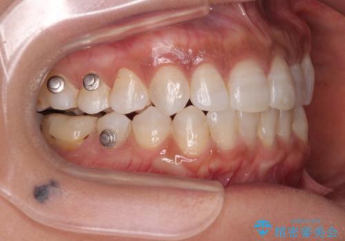
咬合力が非常に強く、治療が進むにつれて上下奥歯が離開してくることが予想されるため、治療途中から上下の顎間ゴムを使用することを理解いただき、インビザラインによる矯正治療を行うこととしました。
- 費用(概算)
- 90万円(税込)費用は治療当時の料金となります
治療について
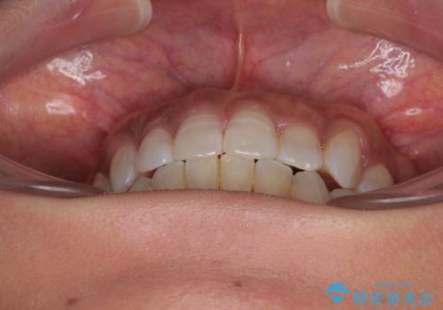
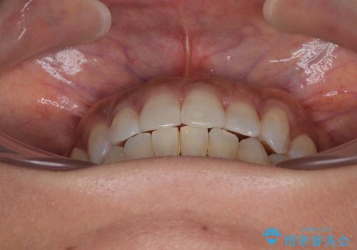
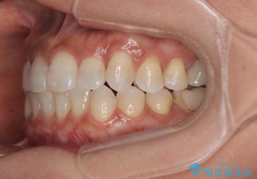
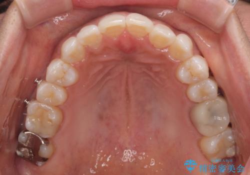
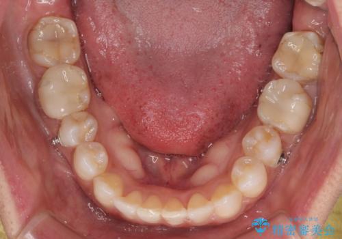
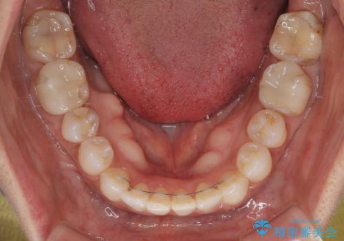
咬合力による臼歯離開は顎間ゴムで改善されましたが、それとは別に下顎小臼歯がマウスピースに追従せず、補正のためのゴムかけが必要となりました。
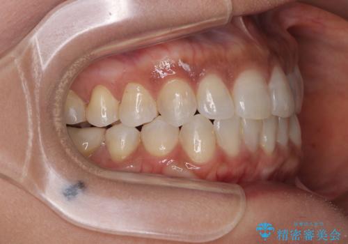
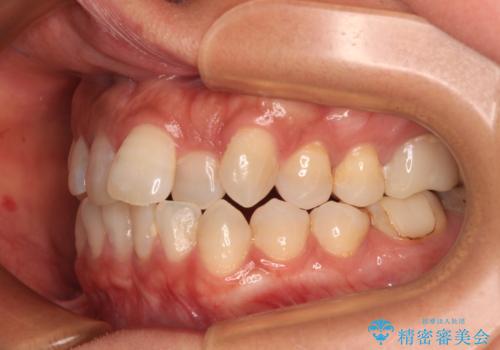
大変なゴムかけ作業を頑張っていただき、無事に治療を終えることができました。
マウスピース矯正の注意事項(リスク・副作用など)
- 口腔内・歯並びの状態によっては対応できない場合があります
- マウスピース型矯正装置の長時間装着(1日20時間以上)が必須です
- 治療計画通りに進めるためには、患者様の意志が重要になります
- 矯正治療後の保定が不十分だと後戻り(元の位置に戻ろうとする動き)をします
- 薬機法対象外の矯正歯科装置のため医薬品副作用被害救済制度の対象外となる場合があります
- 自費診療(保険適用外)となります
当サイトの内容、テキスト、画像等の無断転載、複製、複写、盗用を固く禁じます。



























