症例詳細
Case detail
新幹線&飛行機で通院 最小限の通院で前歯のインプラント治療
治療症例の内容
- 診療科目
- 担当医
- 藤巻太一朗(ドクタープロフィール)
- 患者様
- 50代女性
- 治療期間
- 5ヶ月
- 治療回数
- 2-5回
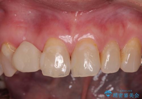
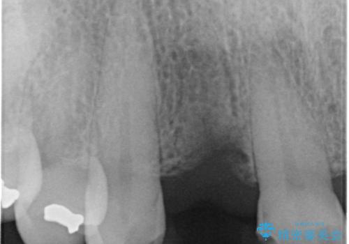
- 治療計画
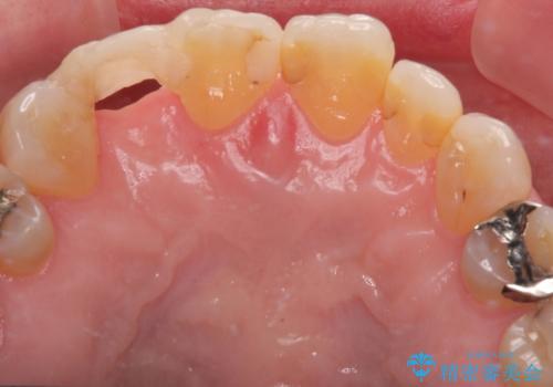
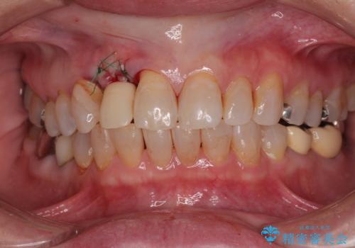
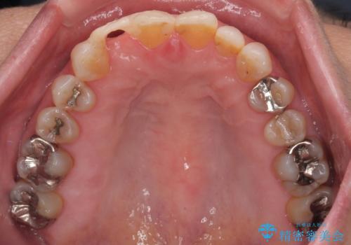
- 前歯のインプラント治療を検討して様々医院を探していたところ、1回の手術で治療ができるとのことで来院された患者様です。
長期間の治療と外科処置の回数が多くなることを懸念して、なかなかインプラント治療に乗り出せなかったそうですが、1DAYインプラントというものがあることを知り、当院にいらっしゃいました。
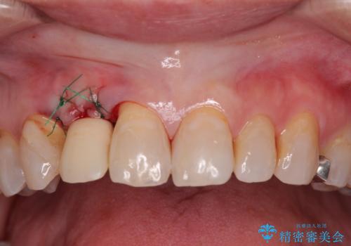
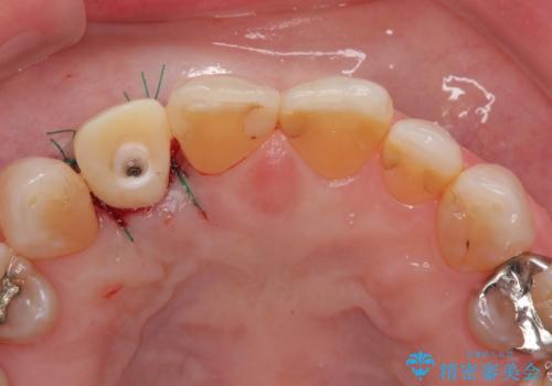
仮歯を事前に用意し、インプラント埋入時に即日で仮歯を装着する、即時荷重インプラントの計画で治療を進めて行くこととしました。
- 費用(概算)
- 52万円(税込)費用は治療当時の料金となります
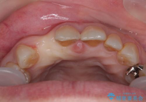
治療について
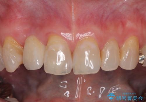
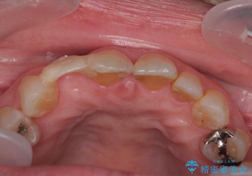
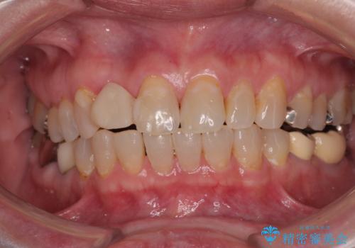
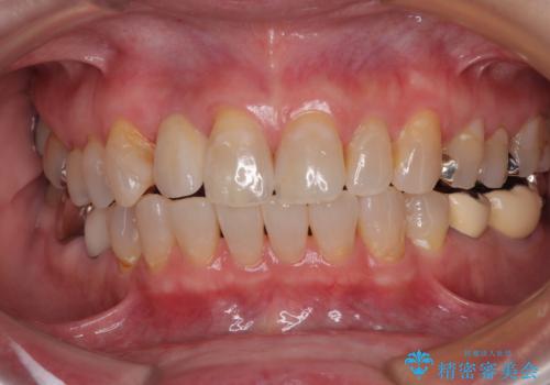
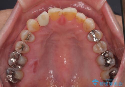
新幹線や飛行機を利用しても来院であり、極力来院回数を減らしたり、東京に用事があるタイミングに合わせてアポイントを調整したりと、負担が少なくなるようにして治療を進めて行きました。
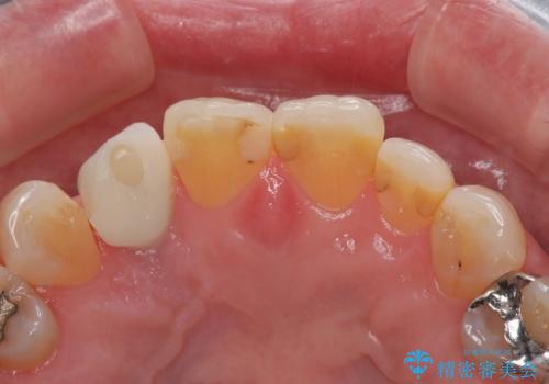
来院間隔があいたため、予定よりも長くなりましたが、大きなトラブルもなく、外科処置は1回のみ、最小の来院数で無事に治療を終えることができました。
インプラント治療の注意事項(リスク・副作用など)
- 外科手術のため、術後に痛みや腫れ、違和感を伴います
- メンテナンスを怠ったり喫煙により、お口の中に大きな悪影響を及ぼすインプラント周囲炎等にかかる可能性があります
- 糖尿病、肝硬変、心臓病等の場合、インプラント治療ができない可能性があります
- 高血圧、貧血・不整脈等の場合、インプラント治療後に治癒不全を招く可能性があります
- 自費診療(保険適用外治療)となります
セラミック治療の注意事項(リスク・副作用など)
- 天然歯を削ります
- 硬い素材は天然歯を傷つけてしまう場合があります
- かみ合わせや歯ぎしりが強すぎる方はセラミックが割れてしまう可能性があります
- 自費診療(保険適用外治療)となります
当サイトの内容、テキスト、画像等の無断転載、複製、複写、盗用を固く禁じます。





















