症例詳細
Case detail
奥歯の治療をしたい セラミックインレー
治療症例の内容
- 診療科目
- 治療カテゴリ
- 担当医
- 小澤俊哉(ドクタープロフィール)
- 患者様
- 20代男性
- 治療期間
- 1ヶ月
- 治療回数
- 2-5回
- 治療計画
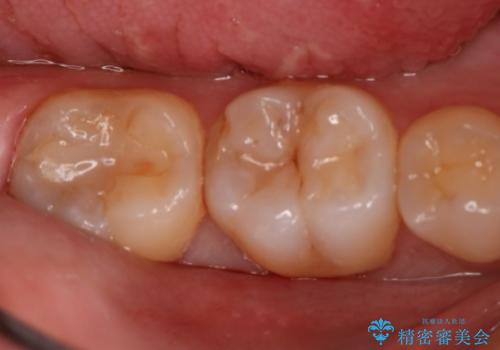
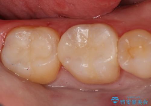
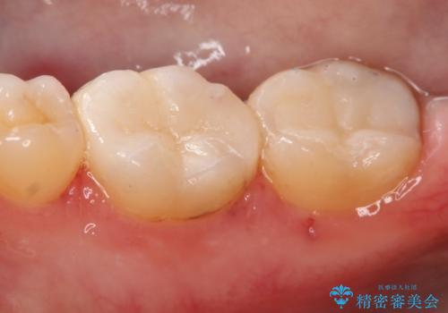
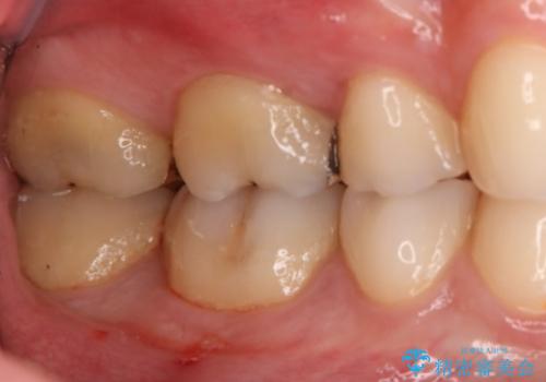
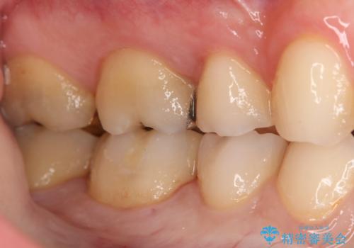
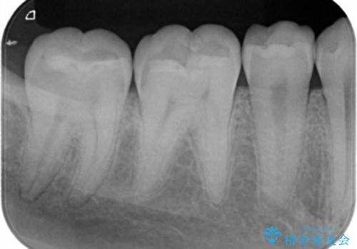
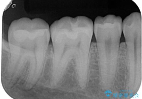
- 右下6・7番の虫歯治療を主訴に来院された患者様です。
精度が高く見た目が良いものを希望されたので、切削量・形態を考慮しセラミックインレーでの治療を計画しました。
- 費用(概算)
- 154000円(税込)費用は治療当時の料金となります
治療について
奥歯でも下の歯の場合は審美性の高いセラミックを選択される患者様が多いです。
セラミック治療の注意事項(リスク・副作用など)
- 天然歯を削ります
- 硬い素材は天然歯を傷つけてしまう場合があります
- かみ合わせや歯ぎしりが強すぎる方はセラミックが割れてしまう可能性があります
- 自費診療(保険適用外治療)となります
当サイトの内容、テキスト、画像等の無断転載、複製、複写、盗用を固く禁じます。








