症例詳細
Case detail
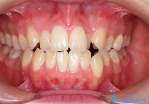
20代女性 ガタガタの歯を矯正してきれいに 表のワイヤー矯正
治療症例の内容
- 診療科目
- 治療カテゴリ
- 担当医
- 患者様
- 20代女性
- 矯正装置
- 審美装置
- 治療期間
- 2年
- 治療回数
- 10-30回
- 治療計画
- 奥歯の位置関係は維持し、上下4本の小臼歯抜歯により得られたスペースでガタつきを改善します。
- 費用(概算)
- 約85万円費用は治療当時の料金となります
治療について
歯の重なりが強く、虫歯も多数見受けられたため矯正治療と併行して、時間があるときは虫歯の処置も同時に行いました。
矯正治療とはいえ、1口腔単位のため、虫歯や歯周病、更にはアドバンスな処置を含めた視野でみる必要があります。
ワイヤー矯正の注意事項(リスク・副作用など)
- 治療中は違和感や痛みが起こることがあります
- 症状により、抜歯が必要な場合があります
- 治療中は歯磨きがしにくくなるため、虫歯や歯周病になりやすくなります
- 矯正治療後の保定が不十分だと後戻り(元の位置に戻ろうとする動き)をします
- 自費診療(保険適用外)となります
当サイトの内容、テキスト、画像等の無断転載、複製、複写、盗用を固く禁じます。























