症例詳細
Case detail
30代女性 ミゼラブルな前歯の陥没を再生する③完成へ
治療症例の内容
- 患者様
- 30代女性
- 治療期間
- 2年
- 治療回数
- 5-10回
- 治療計画
- 他院にて前歯を抜歯され、その後の組織の吸収によりシビアな欠損を伴う状態であった
→2度の手術により失われた骨・および軟組織の再生を図り、最終的にセラミックにて修復を終えた
- 費用(概算)
- 2回の手術:約30万円 ジルコニアオールセラミック:9万円/本(旧価格)費用は治療当時の料金となります
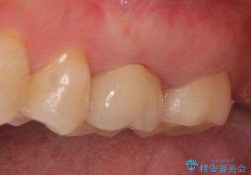
完成
骨造成と2次的な結合組織の付着により
・歯牙を支持する歯槽骨の回復
・浅いポケットの獲得
・最低限の審美性の回復
が達成された。
長期的な経過は予測できないため、定期的なチェックに来ていただき、レントゲンなどによる継続的な評価をしていきたい。
被せものの種類:ジルコニアオールセラミック スタンダード
セラミック治療の注意事項(リスク・副作用など)
- 天然歯を削ります
- 硬い素材は天然歯を傷つけてしまう場合があります
- かみ合わせや歯ぎしりが強すぎる方はセラミックが割れてしまう可能性があります
- 自費診療(保険適用外治療)となります
歯周病治療の注意事項(リスク・副作用など)
- 外科手術のため、術後に痛みや腫れ、違和感を伴います
- 歯周組織再生治療は患者様の状態によって術後の経過が異なります(見た目が改善しない場合もあります)
- 歯周組織再生治療は自費診療(保険適用外)となります
当サイトの内容、テキスト、画像等の無断転載、複製、複写、盗用を固く禁じます。














