症例詳細
Case detail
虫歯を治したい〈セラミック〉
治療症例の内容
- 担当医
- 瀧村怜未(ドクタープロフィール)
- 患者様
- 20代女性
- 治療期間
- 1ヶ月
- 治療回数
- 2-5回
- 治療計画
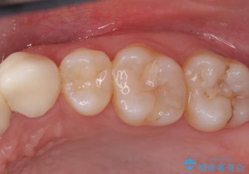
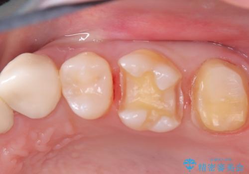
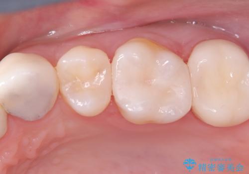
- 虫歯の治療を希望されました。一番奥の歯は虫歯が深かったことから神経を部分的に残す治療法(生活歯髄療法)や神経の治療(根管治療)についても説明し、治療介入をしました。
材料の特性を説明し、材質はどちらもセラミック、手前の歯は部分的な詰め物、奥の歯は被せ物での修復となりました。
- 費用(概算)
- 253000円費用は治療当時の料金となります
治療について
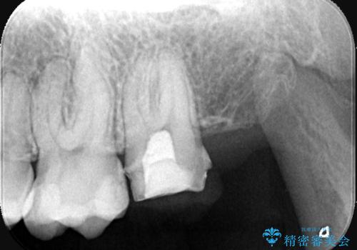
左上7番は治療前の神経の検査では正常の範囲内の値を示しました。虫歯を削っていったところ神経まで到達したため、神経を部分的に残す治療法を選択しました。その後痛み等症状が出ず、また、神経の反応も正常であったため、被せ物にしています。
セラミック治療の注意事項(リスク・副作用など)
- 天然歯を削ります
- 硬い素材は天然歯を傷つけてしまう場合があります
- かみ合わせや歯ぎしりが強すぎる方はセラミックが割れてしまう可能性があります
- 自費診療(保険適用外治療)となります
当サイトの内容、テキスト、画像等の無断転載、複製、複写、盗用を固く禁じます。








