症例詳細
Case detail
軽度の歯のデコボコ(叢生)をインビザライン(マウスピース)で改善|わずか5か月で整った歯並びに
治療症例の内容
- 診療科目
- 治療カテゴリ
- 担当医
- 河野豊嘉(ドクタープロフィール)
- 患者様
- 20代女性
- 治療期間
- 5ヶ月
- 治療回数
- 2-5回
- 治療計画
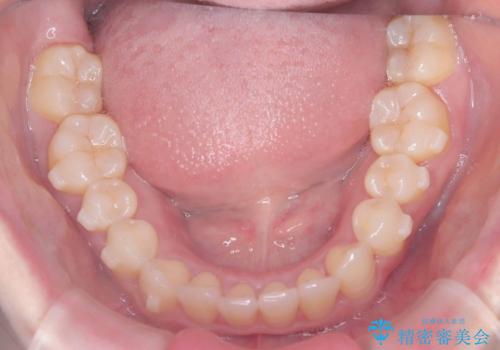
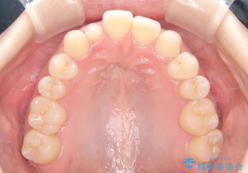
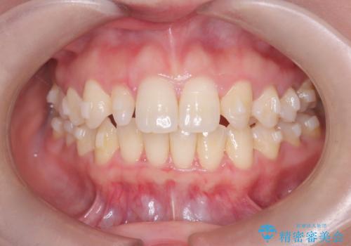
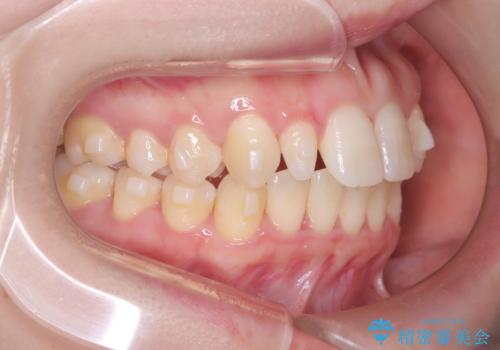
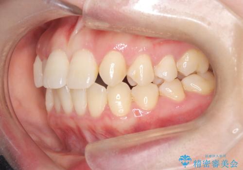
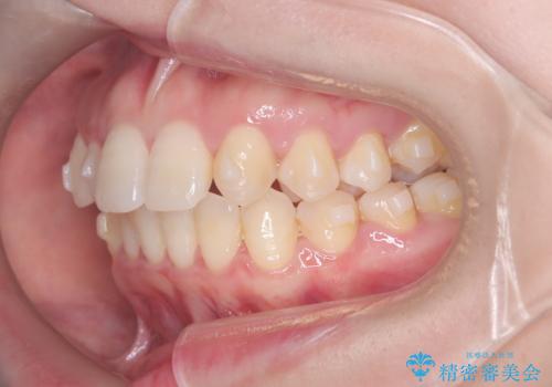
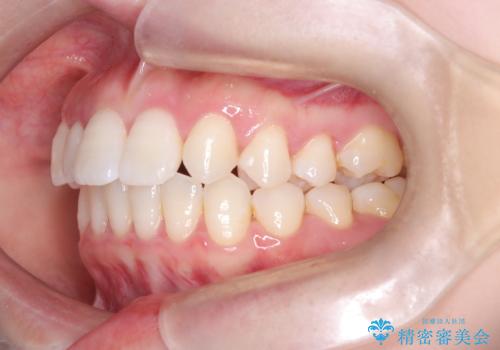
- 歯のデコボコと右上2番の歯の形が気になることを主訴に来院された患者様です。
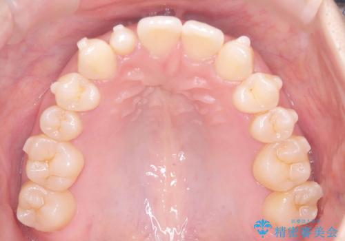
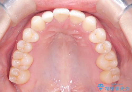
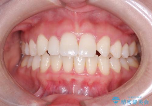
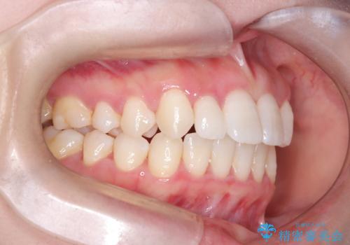
軽度の叢生(凸凹)であったため、インビザラインのライトパッケージを用いて歯並びを改善しました。その後、右上2番はオールセラミッククラウンにより形態を回復し、審美性を向上させました。
- 費用(概算)
- 税込473,000円 矯正治療の費用費用は治療当時の料金となります
治療について
歯並びと見た目がきれいになり、治療も短期間で終わったことから、患者様にも大変ご満足いただきました。
マウスピース矯正の注意事項(リスク・副作用など)
- 口腔内・歯並びの状態によっては対応できない場合があります
- マウスピース型矯正装置の長時間装着(1日20時間以上)が必須です
- 治療計画通りに進めるためには、患者様の意志が重要になります
- 矯正治療後の保定が不十分だと後戻り(元の位置に戻ろうとする動き)をします
- 薬機法対象外の矯正歯科装置のため医薬品副作用被害救済制度の対象外となる場合があります
- 自費診療(保険適用外)となります
当サイトの内容、テキスト、画像等の無断転載、複製、複写、盗用を固く禁じます。

















