症例詳細
Case detail
奥歯に虫歯があると言われた セラミッククラウンでキレイで長持ちする歯へ
治療症例の内容
- 診療科目
- 治療カテゴリ
- 担当医
- 榊原康平(ドクタープロフィール)
- 患者様
- 30代女性
- 治療期間
- 治療回数
- 2-5回
- 治療計画
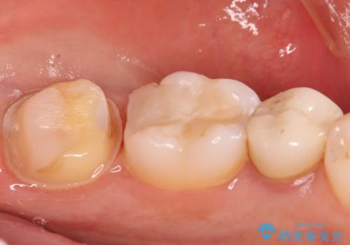
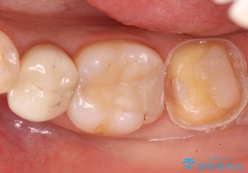
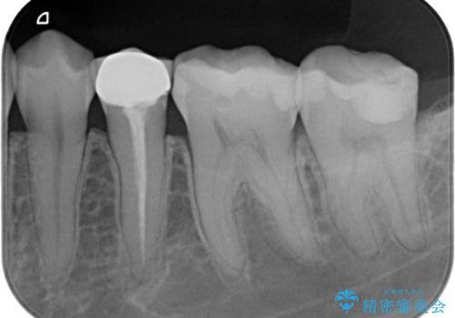
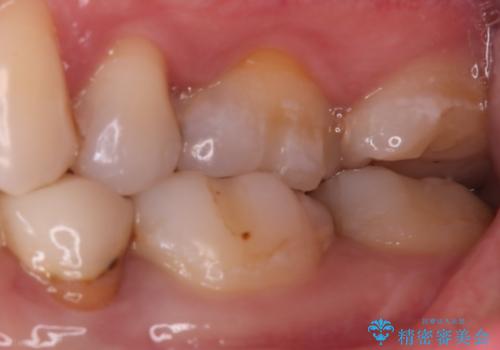
- 奥歯に虫歯があると言われて治療された患者様です。
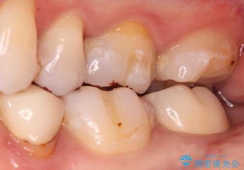
何度か同じ歯に保険治療で治したそうですが、欠けたり再度う蝕になってしまった経験から自費治療を希望され、丈夫でキレイなセラミッククラウンにて治療いたしました。
- 費用(概算)
- 132000円費用は治療当時の料金となります
治療について
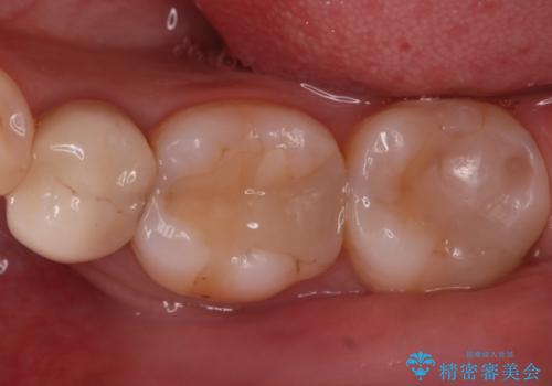
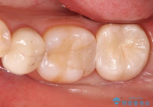
噛み合わせや食べ物の詰まりなどは問題なく、経過良好とのことで満足いただけました。
セラミック治療の注意事項(リスク・副作用など)
- 天然歯を削ります
- 硬い素材は天然歯を傷つけてしまう場合があります
- かみ合わせや歯ぎしりが強すぎる方はセラミックが割れてしまう可能性があります
- 自費診療(保険適用外治療)となります
当サイトの内容、テキスト、画像等の無断転載、複製、複写、盗用を固く禁じます。










