症例詳細
Case detail
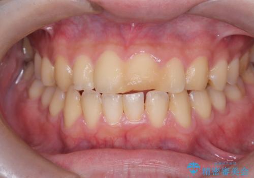
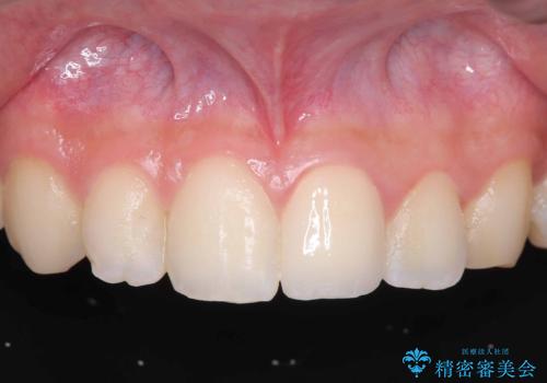
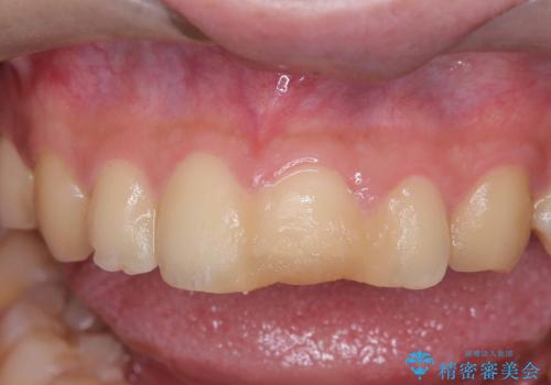
サーフィンで前歯をぶつけて歯が欠けた|かかりつけ医で治療困難と言われ当院へ来院|VPT(生活歯髄療法)で神経を保存|前歯の見た目も改善
治療症例の内容
- 診療科目
 
- 治療カテゴリ
 
- 担当医
 - 河野豊嘉(ドクタープロフィール)
 
- 患者様
 - 20代男性
 
- 治療期間
 - 1ヶ月
 
- 治療回数
 - 2-5回
 
- 治療計画
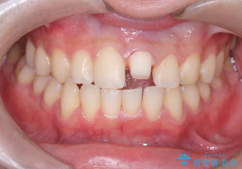
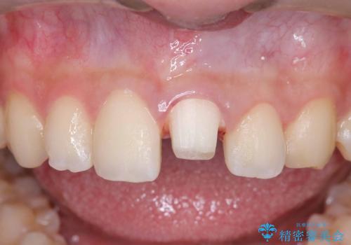
 - 歯冠破折により点状露髄を認めました。破折から1週間以内であったこと、また歯髄診断により生活反応が良好で保存可能と判断したため、VPT(生活歯髄療法)を行い神経の保存を試みました。
 
- 費用(概算)
 - 税込209,000円(VPT歯髄保存療法44,000円+仮歯11,000円+オールセラミッククランスペシャル154,000円)費用は治療当時の料金となります
 
治療について
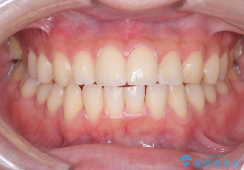
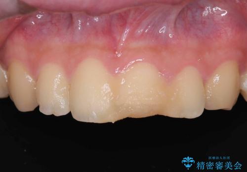
神経の状態が良好に保たれていることを確認した後、オールセラミッククラウンによる審美修復を行いました。
なお、最終補綴前にはオフィスホワイトニングを実施し、より自然で明るい仕上がりを得ることができました。
他院では「治療が難しい」と言われた患者様でしたが、当院で神経を残すことができ、見た目もきれいに仕上がったことで大変喜んでいただけました。
セラミック治療の注意事項(リスク・副作用など)
- 天然歯を削ります
 - 硬い素材は天然歯を傷つけてしまう場合があります
 - かみ合わせや歯ぎしりが強すぎる方はセラミックが割れてしまう可能性があります
 - 自費診療(保険適用外治療)となります
 
ホワイトニングの注意事項(リスク・副作用など)
- 知覚過敏が出ることがあります
 - ホワイトバンドや白い斑点が出ることがあります
 - クラウンやインレー等の補綴物には効果がありません
 - ホワイトニングによる効果や持続期間には個人差があります
 - 歯牙の状態によっては適応できないことがあります
 - 保険適用外となります
 
根管治療の注意事項(リスク・副作用など)
- 根管治療により類似の全ての症例の問題が解決するわけではなく、症例はあくまでも一例です
 - 根管治療により痛みや腫れがひかない事や、術後に痛みや腫れが生じる事、治療によるファイル破折やパーフォレーションなどの偶発症、術後の歯根破折を生じる可能性もあります
 - 自費診療(保険適用外)となります
 
当サイトの内容、テキスト、画像等の無断転載、複製、複写、盗用を固く禁じます。

                      
                                                          













