症例詳細
Case detail
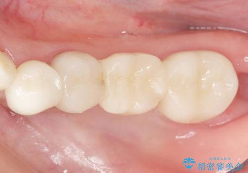
銀歯のブリッジをジルコニアブリッジへ
治療症例の内容
- 診療科目
- 治療カテゴリ
- 担当医
- 大元洋佑(ドクタープロフィール)
- 患者様
- 40代女性
- 治療期間
- 1ヶ月
- 治療回数
- 2-5回
- 治療計画
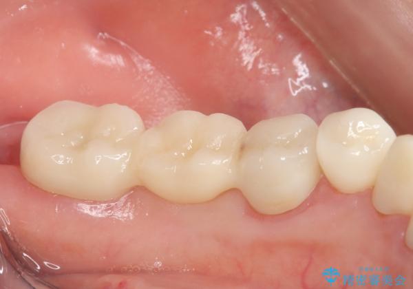
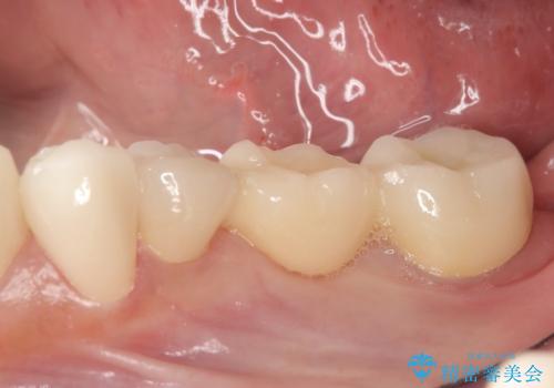
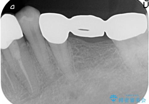
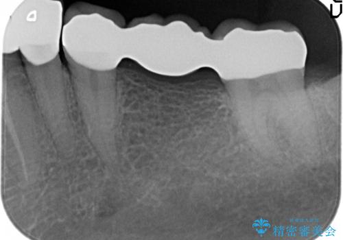
- 笑った時に大きく見えてしまう奥歯の銀歯ブリッジを白くしたいと希望され来院されました。
 強度があり、審美性にも優れるジルコニアブリッジに置き替えていく治療計画としました。
- 費用(概算)
- 39.6万円(ジルコニアクラウン×3・仮歯×3)費用は治療当時の料金となります
治療について
ブリッジに見えない自然な仕上がりに喜んでいただくことができました。
セラミック治療の注意事項(リスク・副作用など)
- 天然歯を削ります
- 硬い素材は天然歯を傷つけてしまう場合があります
- かみ合わせや歯ぎしりが強すぎる方はセラミックが割れてしまう可能性があります
- 自費診療(保険適用外治療)となります
当サイトの内容、テキスト、画像等の無断転載、複製、複写、盗用を固く禁じます。








 
                       
                                                          










 
                  ![[歯ぐきからの出血] 歯肉の状態を改善する前歯オールセラミック治療①](https://seimitsushinbi.jp/wp/wp-content/uploads/2018/06/436ad70de210cb73420c321f649e9f85-1-500x350.jpg) 
                  ![[メタルフリー治療]  銀歯を白く emaxを用いた審美修復・補綴](https://seimitsushinbi.jp/wp/wp-content/uploads/2018/08/29e010a123f6f70ad1cb9e0d1168efc2-500x350.jpg) 
                  