症例詳細
Case detail
奥歯の銀歯を自然に!右下6番のメタルフリー治療
治療症例の内容
- 診療科目
- 治療カテゴリ
- 担当医
- 河口智英(ドクタープロフィール)
- 患者様
- 20代女性
- 治療期間
- 1ヶ月
- 治療回数
- 2-5回
- 治療計画
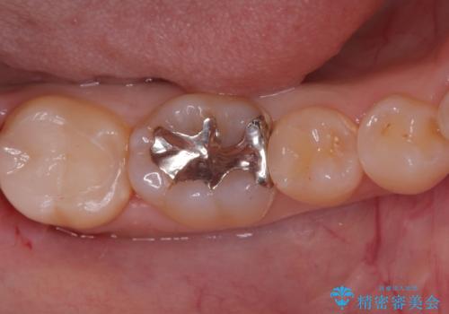
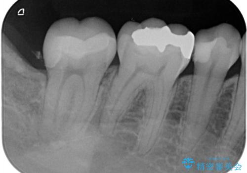
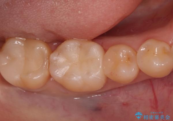
- 右下6番の奥歯に入っている金属の詰め物(メタルインレー)を気にされてご来院されました。お口の中の金属をなくしたいという患者様のご希望と、見た目の改善を目指し、天然歯に近い色と質感を持つセラミックインレーに交換する治療計画を立案しました。これにより、審美性の向上と、金属アレルギーのリスクがないメタルフリーの環境を実現することを目指しました。
- 費用(概算)
- 7万円費用は治療当時の料金となります
治療について
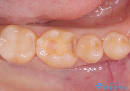
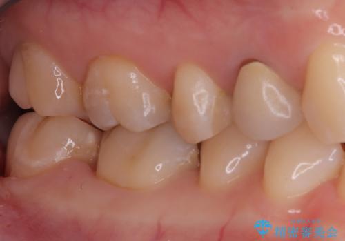
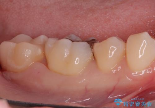
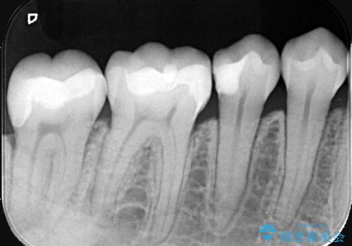
治療では、まず古い金属のインレーを慎重に取り外し、内部に虫歯の再発がないかを丁寧に確認しました。歯を最小限だけ形成した後、精密な型取りから患者様の歯の色に合わせたオーダーメイドのセラミックインレーを作製しました。セラミックは、歯質との適合性が高く、プラークが付着しにくいため、虫歯の再発リスクを抑えるメリットもあります。適合性の高いセラミックインレーを装着することで、長年のコンプレックスだった銀歯がなくなり、機能的にも安定した自然な奥歯を取り戻していただけました。
セラミック治療の注意事項(リスク・副作用など)
- 天然歯を削ります
- 硬い素材は天然歯を傷つけてしまう場合があります
- かみ合わせや歯ぎしりが強すぎる方はセラミックが割れてしまう可能性があります
- 自費診療(保険適用外治療)となります
当サイトの内容、テキスト、画像等の無断転載、複製、複写、盗用を固く禁じます。







