症例詳細
Case detail
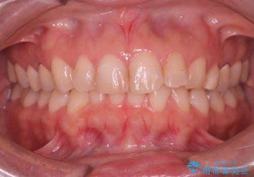
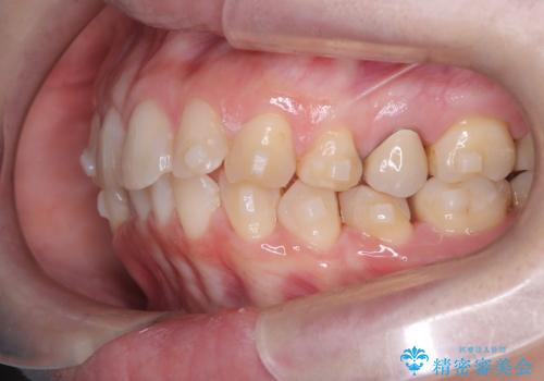
下の前歯のデコボコを、目立たない矯正ですっきりと
治療症例の内容
- 診療科目
- 治療カテゴリ
- 担当医
- 河口智英(ドクタープロフィール)
- 患者様
- 30代女性
- 治療期間
- 1年6ヶ月
- 治療回数
- 5-10回
- 治療計画
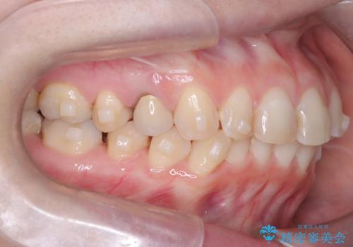
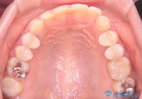
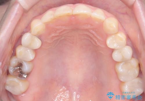
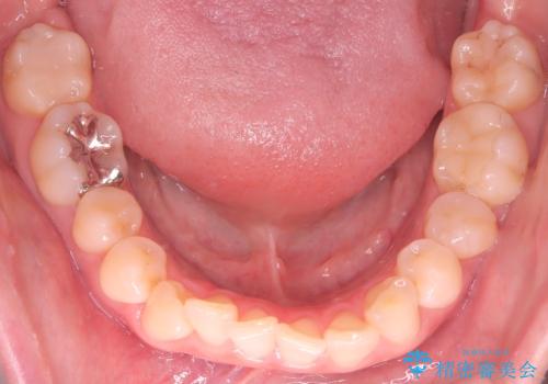
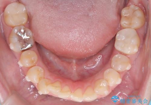
- 下の前歯のデコボコ(叢生)を気にされてご来院されました。精密な検査の結果、下の前歯を並べるスペースが不足していることが判明。患者様のご希望から、透明で目立ちにくい**インビザライン(マウスピース矯正)による治療計画を立案しました。主に歯の側面をわずかに削るIPR(歯間乳頭保護下ストリッピング)**などでスペースを確保し、下の前歯の叢生を解消することを目指します。
- 費用(概算)
- 85万円費用は治療当時の料金となります
治療について
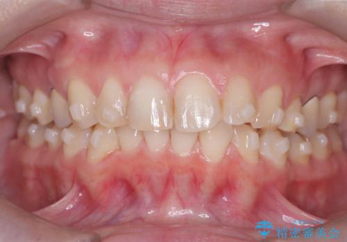
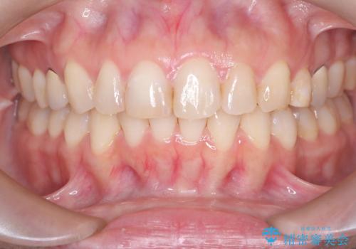
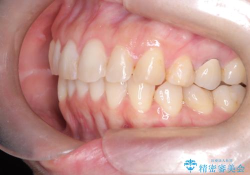
今回の矯正治療では、透明なマウスピース型の装置インビザラインを使用しました。目立たず、取り外しが可能なため、日常生活にほとんど影響なく治療を進めることができました。治療は、緻密に計算された計画に基づき、IPRなどで必要なスペースを確保しながら、下の前歯をスムーズに移動。これにより、長年の悩みであった下の前歯のデコボコが解消され、清掃しやすい、整った歯並びを獲得していただけました。
マウスピース矯正の注意事項(リスク・副作用など)
- 口腔内・歯並びの状態によっては対応できない場合があります
- マウスピース型矯正装置の長時間装着(1日20時間以上)が必須です
- 治療計画通りに進めるためには、患者様の意志が重要になります
- 矯正治療後の保定が不十分だと後戻り(元の位置に戻ろうとする動き)をします
- 薬機法対象外の矯正歯科装置のため医薬品副作用被害救済制度の対象外となる場合があります
- 自費診療(保険適用外)となります
当サイトの内容、テキスト、画像等の無断転載、複製、複写、盗用を固く禁じます。















