症例詳細
Case detail
前歯の逆の咬み合わせを、目立たない矯正でスムーズに改善
治療症例の内容
- 診療科目
- 治療カテゴリ
- 担当医
- 河口智英(ドクタープロフィール)
- 患者様
- 20代女性
- 治療期間
- 1年6ヶ月
- 治療回数
- 5-10回
- 治療計画
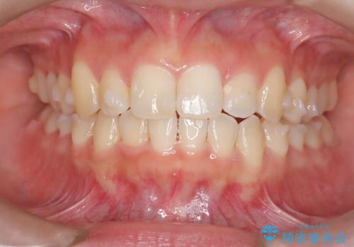
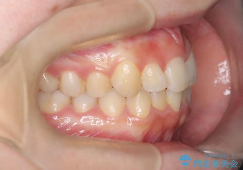
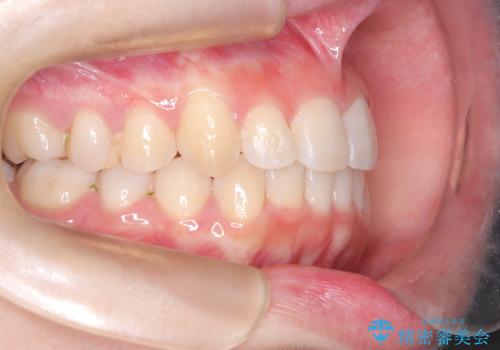
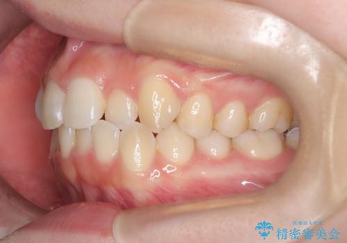
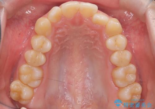
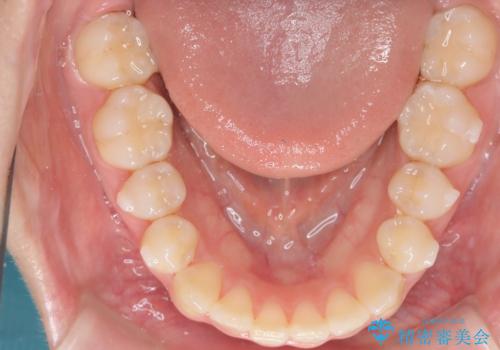
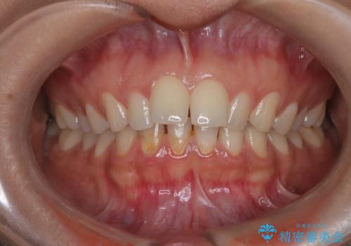
- 右上の前歯(2番)が下の歯より内側に入っている反対咬合を主訴にご来院されました。精密な検査の結果、この反対咬合を解消するためには、右上の歯列に前歯を出すためのスペースを確保する必要があると判明しました。患者様のご希望に合わせ、透明で目立たないインビザライン(マウスピース矯正)による治療計画を立案。奥歯全体を奥へ動かす遠心移動でスペースを作り、反対咬合を解消することを目指します。
- 費用(概算)
- 80万円費用は治療当時の料金となります
治療について
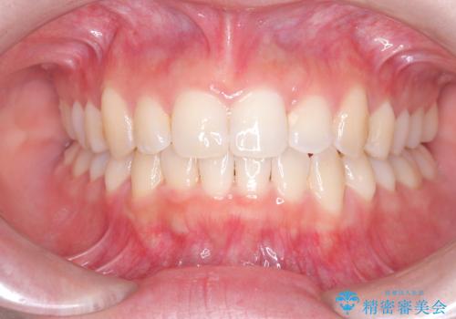
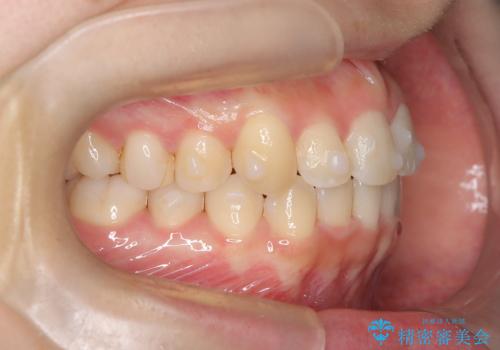
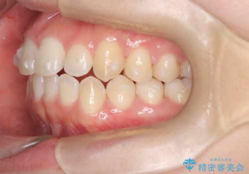
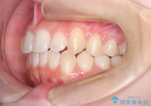
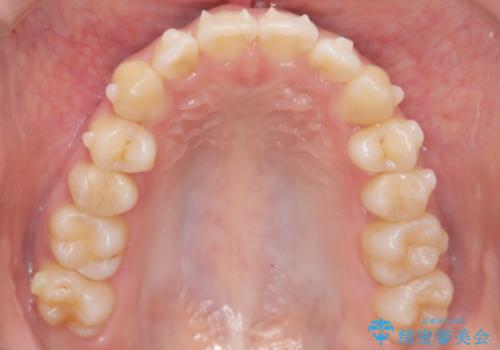
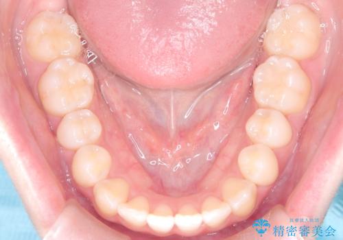
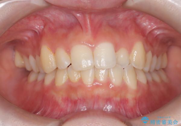
今回の矯正治療では、透明なマウスピース型の装置インビザラインを使用しました。治療は、緻密なデジタル計画に基づき、奥歯から順に歯列全体を後方へ移動させる遠心移動を実施し、前歯を前に出すためのスペースを確保しました。このスペースを利用して、内側に入り込んでいた右上2番をスムーズに前方に誘導し、正常な咬み合わせへと改善。目立たないインビザラインで、機能的な咬み合わせと美しい前歯の並びを獲得していただけました。
マウスピース矯正の注意事項(リスク・副作用など)
- 口腔内・歯並びの状態によっては対応できない場合があります
- マウスピース型矯正装置の長時間装着(1日20時間以上)が必須です
- 治療計画通りに進めるためには、患者様の意志が重要になります
- 矯正治療後の保定が不十分だと後戻り(元の位置に戻ろうとする動き)をします
- 薬機法対象外の矯正歯科装置のため医薬品副作用被害救済制度の対象外となる場合があります
- 自費診療(保険適用外)となります
当サイトの内容、テキスト、画像等の無断転載、複製、複写、盗用を固く禁じます。















