症例詳細
Case detail
50代からの矯正治療!ブリッジを活かし八重歯を解消
治療症例の内容
- 診療科目
- 治療カテゴリ
- 担当医
- 河口智英(ドクタープロフィール)
- 患者様
- 50代男性
- 治療期間
- 1年6ヶ月
- 治療回数
- 10-30回
- 治療計画
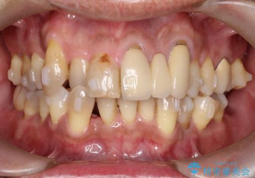
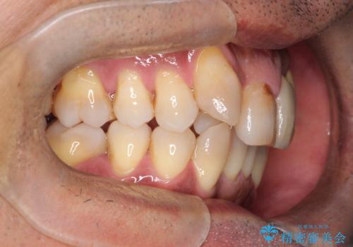
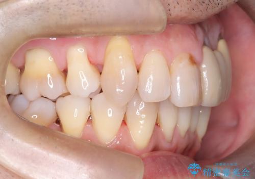
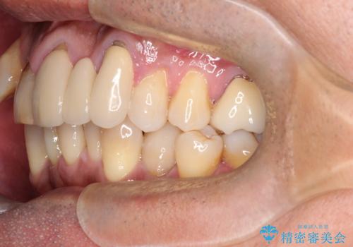
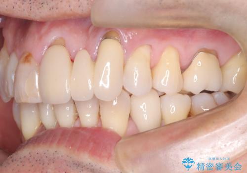
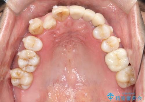
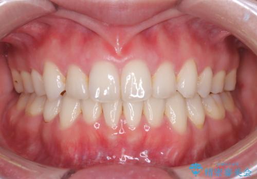
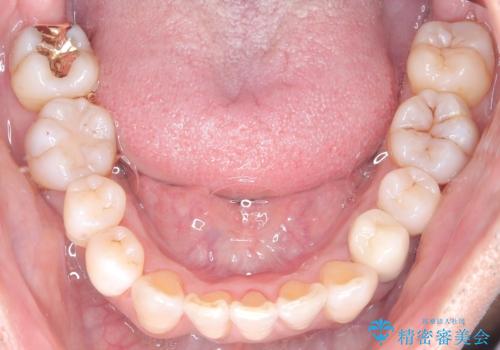
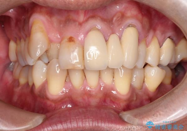
- 50代の患者様で、右上の八重歯と歯並びの乱れを気にされてご来院されました。特に、すでに装着されている前歯のセラミックブリッジを外したくないという強いご希望がありました。精密な検査の結果、八重歯を治すためのスペースが不足しているため、右上の4番目の歯(小臼歯)を抜歯し、そのスペースを利用して歯並び全体を整える治療計画を立案。装置には目立たないインビザラインを採用し、ブリッジを温存しながら八重歯の改善を目指しました。
- 費用(概算)
- 90万円費用は治療当時の料金となります
治療について
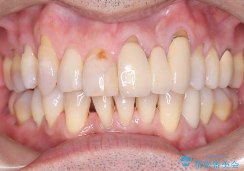
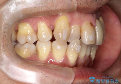
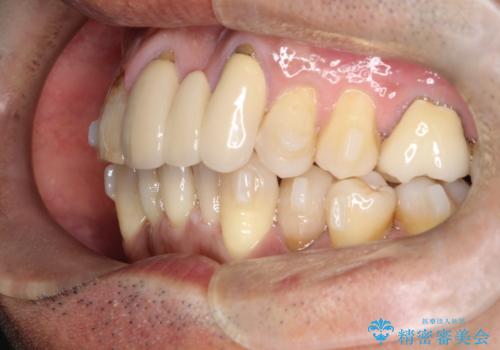
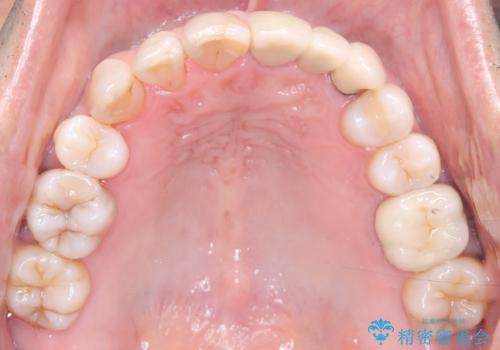
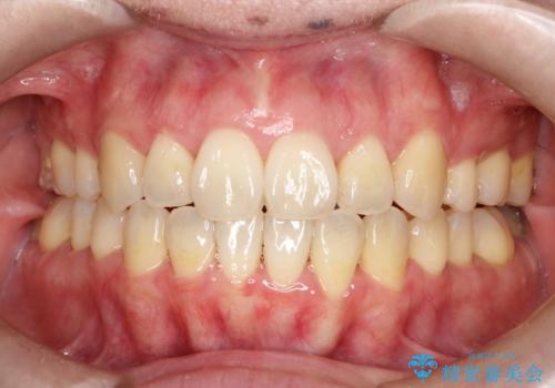
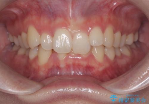
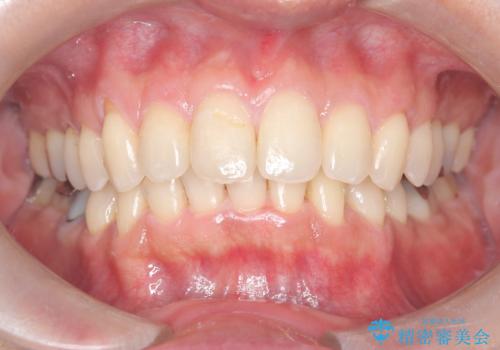
今回の治療で最も重要だったのは、患者様のご要望通り既存のセラミックブリッジを外さずに矯正を進める点でした。計画通り右上の小臼歯を抜歯し、透明なインビザラインを使用して抜歯スペースを閉じながら、八重歯を正しい位置へ移動させました。ブリッジの形態と調和するに、他の歯の移動を工夫をすることで、複雑な条件をクリア。治療の結果、長年気にされていた八重歯が解消され、見た目が大きく改善しました。50代からでも、ご自身の要望を叶えながら、美しく機能的な歯並びを獲得していただけました。
マウスピース矯正の注意事項(リスク・副作用など)
- 口腔内・歯並びの状態によっては対応できない場合があります
- マウスピース型矯正装置の長時間装着(1日20時間以上)が必須です
- 治療計画通りに進めるためには、患者様の意志が重要になります
- 矯正治療後の保定が不十分だと後戻り(元の位置に戻ろうとする動き)をします
- 薬機法対象外の矯正歯科装置のため医薬品副作用被害救済制度の対象外となる場合があります
- 自費診療(保険適用外)となります
当サイトの内容、テキスト、画像等の無断転載、複製、複写、盗用を固く禁じます。















