症例詳細
Case detail
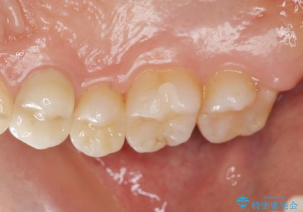
[ メタルフリー ] 銀歯を除去してのセラミック治療
治療症例の内容
- 診療科目
- 治療カテゴリ
- 担当医
- 大元洋佑(ドクタープロフィール)
- 患者様
- 30代女性
- 治療期間
- 1ヶ月
- 治療回数
- 2-5回
- 治療計画
- 笑った時に見える銀歯を白くしたい、と希望され来院されました。
 銀歯を除去し、審美性を改善、虫歯の再発リスクも低いセラミックインレーを用いた治療計画を進めていきます。
- 費用(概算)
- 15.4万円(セラミックインレー×2)費用は治療当時の料金となります
治療について
セラミックインレーは審美性に優れるだけでなく、表面の物性が劣化しにくいこと、適合に優れることで虫歯の再発リスクが銀歯よりも優位に低くなります。
セラミック治療の注意事項(リスク・副作用など)
- 天然歯を削ります
- 硬い素材は天然歯を傷つけてしまう場合があります
- かみ合わせや歯ぎしりが強すぎる方はセラミックが割れてしまう可能性があります
- 自費診療(保険適用外治療)となります
当サイトの内容、テキスト、画像等の無断転載、複製、複写、盗用を固く禁じます。








 
                       
                                                          ![[ メタルフリー ] 銀歯を除去してのセラミック治療の治療前](https://seimitsushinbi.jp/wp/wp-content/uploads/2025/10/a7e64cb76dd9ff04810e2fe13eba5edb-500x350.jpg?v=1760694678)
![[ メタルフリー ] 銀歯を除去してのセラミック治療の治療後](https://seimitsushinbi.jp/wp/wp-content/uploads/2025/10/4c9662f67bca2880337400dd79b2bf51-500x350.jpg?v=1760694681)
![[ メタルフリー ] 銀歯を除去してのセラミック治療の治療前](https://seimitsushinbi.jp/wp/wp-content/uploads/2025/10/CI1-1-500x350.jpg?v=1760694684)
![[ メタルフリー ] 銀歯を除去してのセラミック治療の治療後](https://seimitsushinbi.jp/wp/wp-content/uploads/2025/10/CI14-500x350.jpg?v=1760694685)
![[ メタルフリー ] 銀歯を除去してのセラミック治療の治療前](https://seimitsushinbi.jp/wp/wp-content/uploads/2025/10/2842c40c6d7608ae8467256459231ea0-500x350.jpg?v=1760694674)
![[ メタルフリー ] 銀歯を除去してのセラミック治療の治療後](https://seimitsushinbi.jp/wp/wp-content/uploads/2025/10/726a0a3b6154ea7e06ebc19fc5dac745-500x350.jpg?v=1760695015)
 
                  ![[オールセラミッククラウン] 神経が死んでしまった歯の変色を治療](https://seimitsushinbi.jp/wp/wp-content/uploads/2017/07/c233d0aa936a8a6ba3d98184aaeae4a5-500x350.jpg) 
                   
                  ![[セラミック治療]  金属色の目立つ口腔内を改善したい](https://seimitsushinbi.jp/wp/wp-content/uploads/2020/12/fa74e151e703f01e2bbbd92086541477-500x350.jpg?v=1607680423)