症例詳細
Case detail
前歯のガタつきを治したい インビザライン・ライトパッケージ
治療症例の内容
- 担当医
- 小澤俊哉(ドクタープロフィール)
- 患者様
- 20代女性
- 治療期間
- 5ヶ月
- 治療回数
- 5-10回
- 治療計画
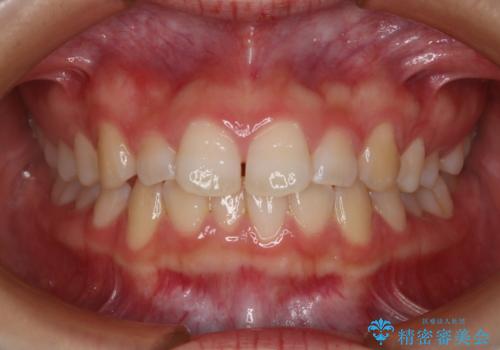
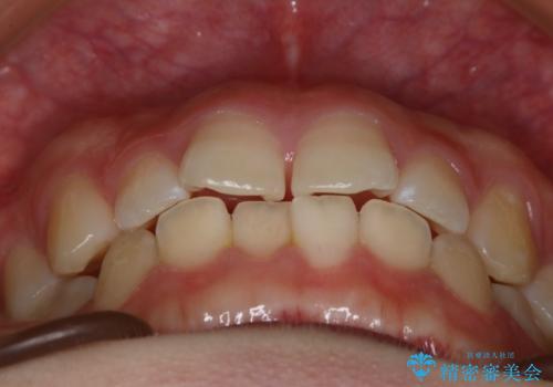
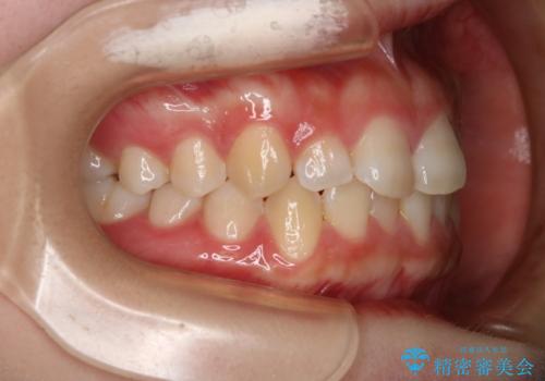
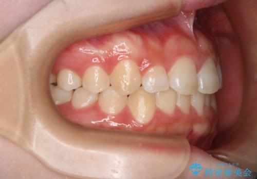
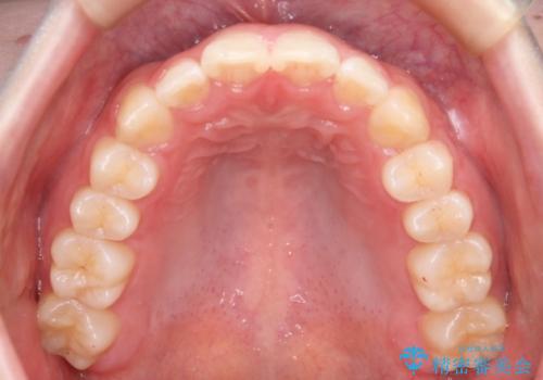
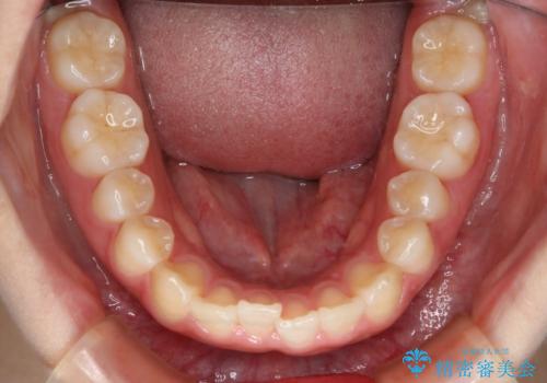
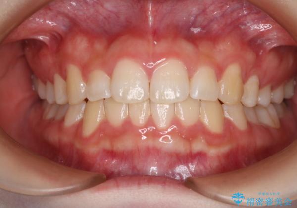
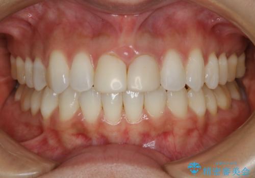
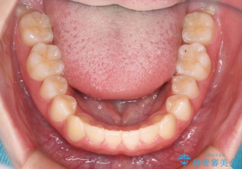
- 前歯のガタつきの改善を主訴に来院された患者様です。
ガタつきによる上顎正中の空隙や歯の突出感も気にされていました。
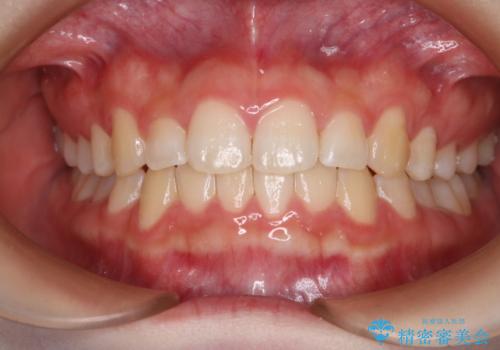
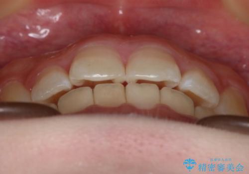
費用を抑えたいとの事だったので歯の移動量なども考慮し、インビザライン・ライトパッケージでの治療を計画しました。
- 費用(概算)
- 495000円(税込)費用は治療当時の料金となります
治療について
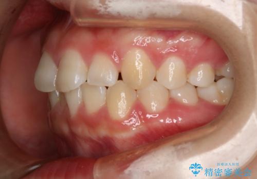
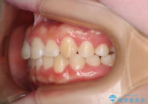
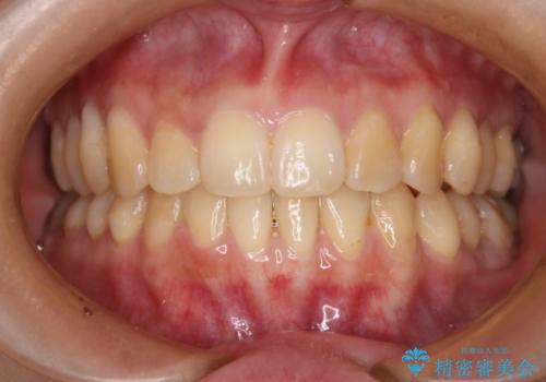
インビザライン・ライトパッケージでは歯の移動量が限られている分、費用と期間を抑えて治療することが出来ます。
マウスピース矯正の注意事項(リスク・副作用など)
- 口腔内・歯並びの状態によっては対応できない場合があります
- マウスピース型矯正装置の長時間装着(1日20時間以上)が必須です
- 治療計画通りに進めるためには、患者様の意志が重要になります
- 矯正治療後の保定が不十分だと後戻り(元の位置に戻ろうとする動き)をします
- 薬機法対象外の矯正歯科装置のため医薬品副作用被害救済制度の対象外となる場合があります
- 自費診療(保険適用外)となります
当サイトの内容、テキスト、画像等の無断転載、複製、複写、盗用を固く禁じます。














