症例詳細
Case detail
デコボコをインビザライン矯正で改善 奥歯は補助装置で確実に移動を
治療症例の内容
- 診療科目
- 治療カテゴリ
- 担当医
- 藤巻太一朗(ドクタープロフィール)
- 患者様
- 20代男性
- 矯正装置
- インビザライン
- 治療期間
- 1年9ヶ月
- 治療回数
- 10-30回
- 治療計画
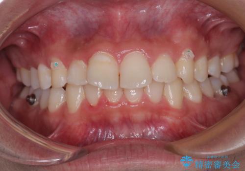
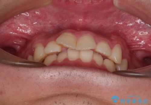
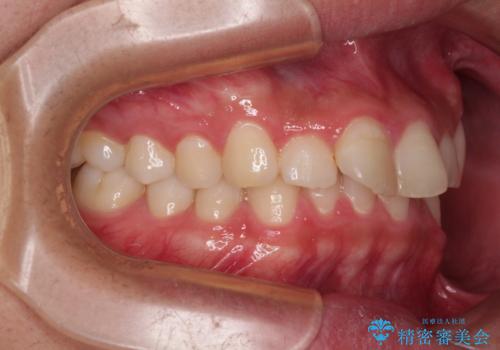
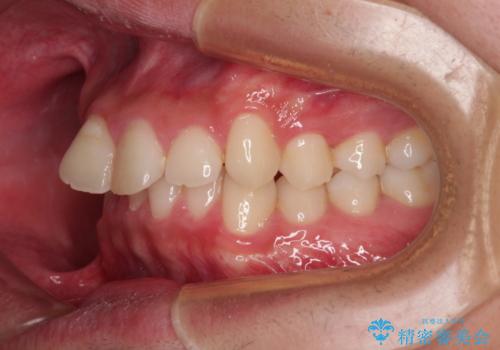
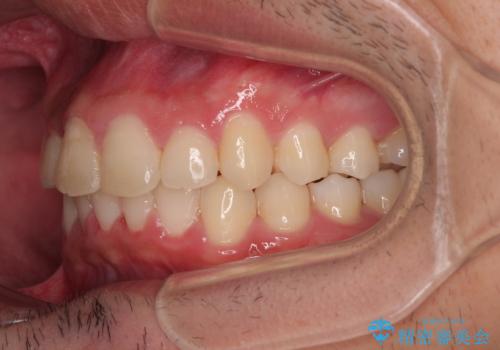
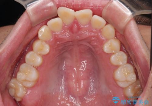
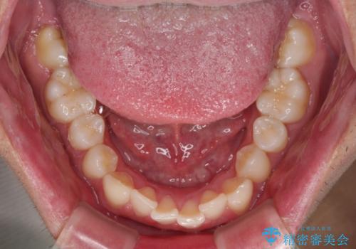
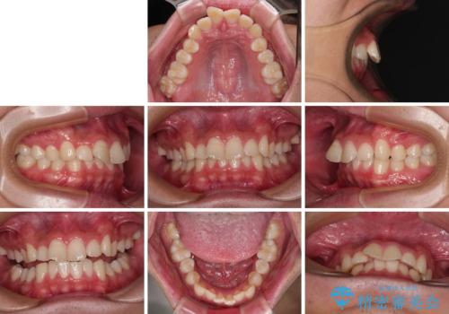
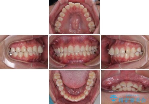
- ディープバイトと上顎前歯の突出、奥歯の咬み合わせを気にして来院された患者様です。
上顎歯列は全体的に前方位にあり、それが原因で深い咬み合わせとなり、突き上げにより上顎前歯が前方に飛び出している状態でした。
また、左右ともに上顎最後臼歯が頬側に転位している鋏状咬合となっていました。
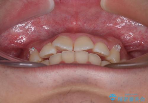
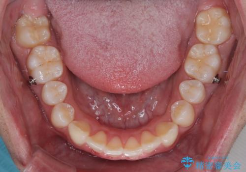
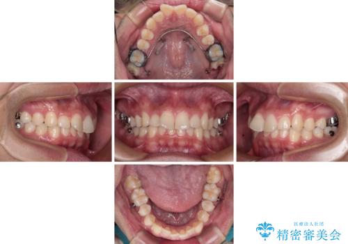
インビザラインによる矯正治療をご希望でしたが、上顎歯列の前方位と鋏状咬合を確実に改善することを目的として、補助装置を併用することとしました。
- 費用(概算)
- 100万円(税込)費用は治療当時の料金となります
治療について
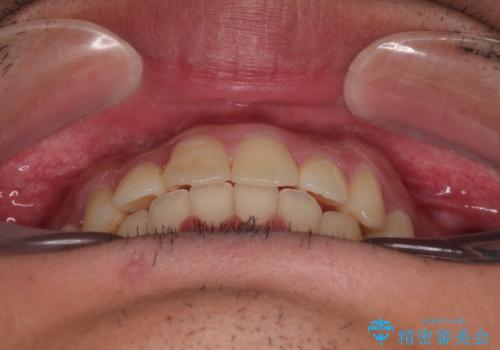
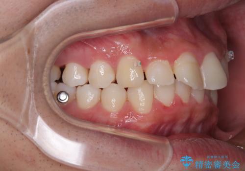
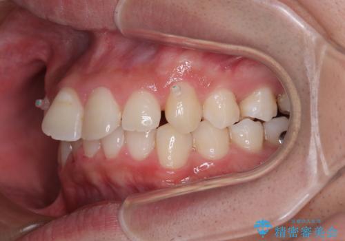
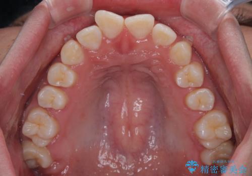
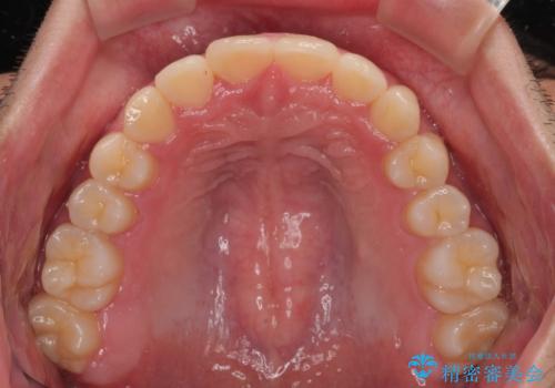
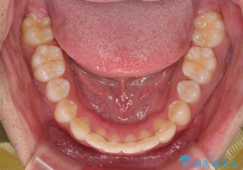
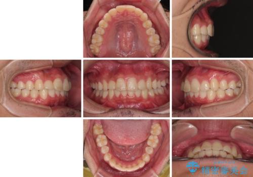
補助装置を併用せずに治療を終える可能性はありましたが、確実に結果を得るために補助装置を活用しました。
イメージしたとおりの仕上がりとなりました。
マウスピース矯正の注意事項(リスク・副作用など)
- 口腔内・歯並びの状態によっては対応できない場合があります
- マウスピース型矯正装置の長時間装着(1日20時間以上)が必須です
- 治療計画通りに進めるためには、患者様の意志が重要になります
- 矯正治療後の保定が不十分だと後戻り(元の位置に戻ろうとする動き)をします
- 薬機法対象外の矯正歯科装置のため医薬品副作用被害救済制度の対象外となる場合があります
- 自費診療(保険適用外)となります
当サイトの内容、テキスト、画像等の無断転載、複製、複写、盗用を固く禁じます。




























