症例詳細
Case detail
左上に違和感がある セラミックインレー修復
治療症例の内容
- 診療科目
- 治療カテゴリ
- 担当医
- 有澤哲郎(ドクタープロフィール)
- 患者様
- 40代男性
- 治療期間
- 1ヶ月
- 治療回数
- 2-5回
- 治療計画
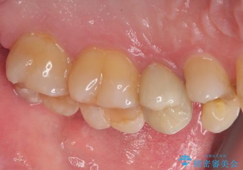
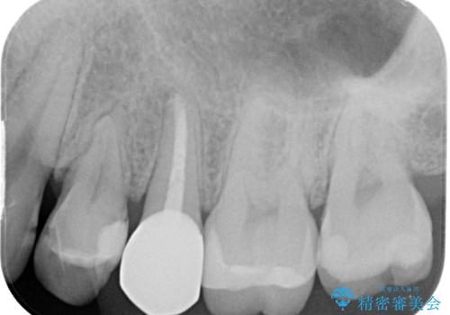
- 左上に違和感があるとのことで来院された患者様です。レントゲン撮影の結果左上の6番目の歯の近心側に虫歯を認め、フロスも引っかかる状態でしたのでセラミックインレーにて修復治療を行っていくこととしました。
拡大鏡視野下でコンポジットレジン、虫歯を除去しセラミックインレーに適した形に整えました。
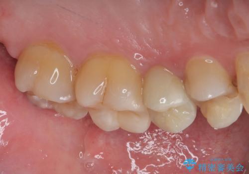
歯と歯茎の間に圧排糸と言われる糸を入れてシリコーン印象材にて精密な型どりをしました。
セラミックインレーの装着時には、唾液の侵入を防ぐために、ラバーダム防湿を行いました
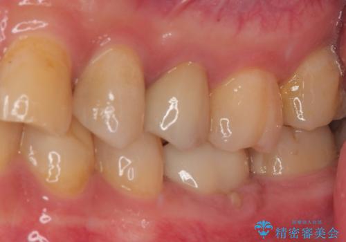
また、左上の4番目のメタルインレーが脱離しているところについては患者様のご希望により保険診療のコンポジットレジンにて修復しています。
- 費用(概算)
- 8万円(税込み)費用は治療当時の料金となります
今後の治療について
違和感がなくなり、フロスも引っかからなくなり大変喜んでいただけました。
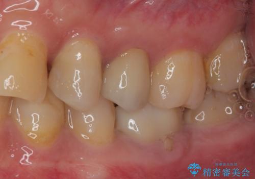
今後左上の4番目の保険診療にて治療を行っている部位についてもセラミックインレー修復を行っていく予定です。
セラミック治療の注意事項(リスク・副作用など)
- 天然歯を削ります
- 硬い素材は天然歯を傷つけてしまう場合があります
- かみ合わせや歯ぎしりが強すぎる方はセラミックが割れてしまう可能性があります
- 自費診療(保険適用外治療)となります
保険治療の注意事項(リスク・副作用など)
- 保険医が保険医療機関において健康保険法、医師法、医療法等の各種関係法令の規定を遵守し、『療養担当規則』の規定を遵守し、医学的に妥当適切な診療を行い、診療報酬点数表に定められたとおりに請求を行っています
- 使用する材料・素材や治療方法に制約があります
- 健康保険適用となります
その他の注意事項(リスク・副作用など)
- 担当歯科医師、歯科衛生士又は医院スタッフから受けた説明・注意事項をよくご確認ください
- 医療を提供するに当たり、適切な説明を行い、患者様の十分な理解を得るよう努めております
当サイトの内容、テキスト、画像等の無断転載、複製、複写、盗用を固く禁じます。








