症例詳細
Case detail
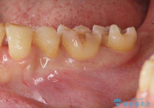
銀歯の下で虫歯の再発 拡大鏡下で行う虫歯の精密治療
治療症例の内容
- 診療科目
- 治療カテゴリ
- 担当医
- 大元洋佑(ドクタープロフィール)
- 患者様
- 30代女性
- 治療期間
- 1ヶ月
- 治療回数
- 2-5回
- 治療計画
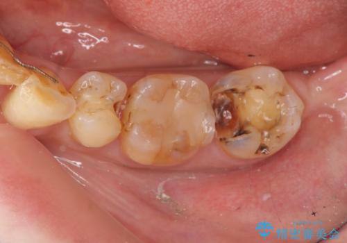
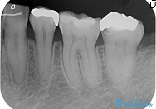
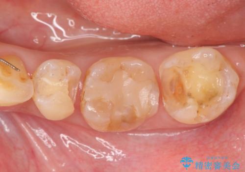
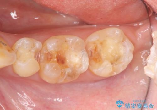
- 他院で銀歯の下部に再発した虫歯の存在を指摘され、精密な治療を求めて来院されました。
銀歯下に虫歯が再発すると神経に近くなり、根管治療を必要とする可能性が高まってしまいます。
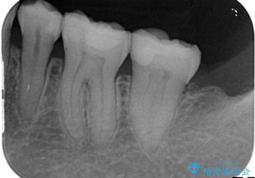
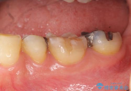
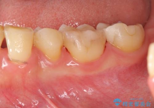
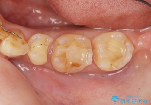
健全な歯を削らないように拡大鏡下で丁寧に虫歯を除去することで神経を温存し精密なセラミック治療を行うことができました。
- 費用(概算)
- 15.4万円(セラミックインレー×2)費用は治療当時の料金となります
治療について
虫歯の再発を防ぐには、細菌の侵入・繁殖を許さない高度な適合レベルと劣化の少ない材質を用いた修復治療を行うことが大変重要です。
セラミック治療の注意事項(リスク・副作用など)
- 天然歯を削ります
- 硬い素材は天然歯を傷つけてしまう場合があります
- かみ合わせや歯ぎしりが強すぎる方はセラミックが割れてしまう可能性があります
- 自費診療(保険適用外治療)となります
当サイトの内容、テキスト、画像等の無断転載、複製、複写、盗用を固く禁じます。












