症例詳細
Case detail
前歯の被せ物をリニューアル
治療症例の内容
- 診療科目
- 治療カテゴリ
- 担当医
- 今村大二郎(ドクタープロフィール)
- 患者様
- 50代 男性
- 治療期間
- 2ヶ月
- 治療回数
- 2-5回
- 治療計画
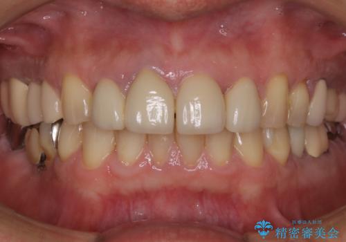
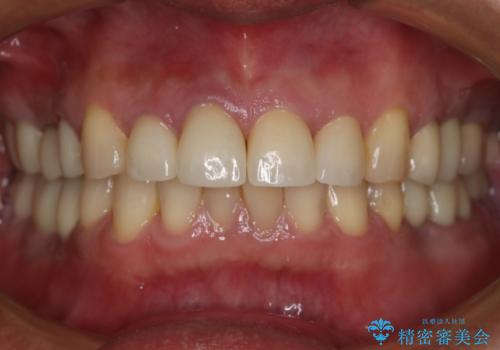
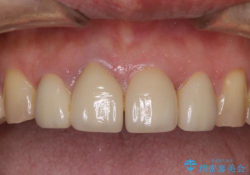
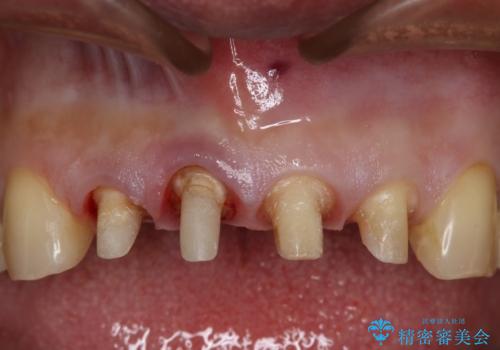
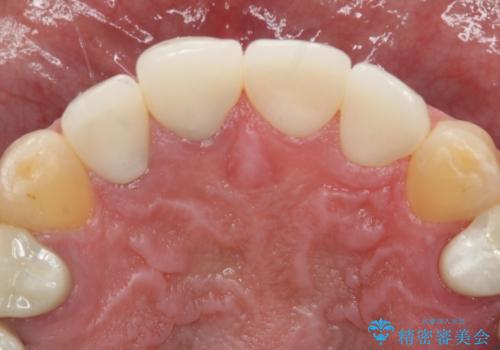
- 上の前歯の正中離開と色味の不満を主訴にご来院されました。
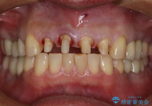
神経を取っている右上2番目の歯は根尖部に病巣があったため根管治療をした上で土台を立て、被せ物の作製を行いました。右上1番目の歯は他院にてとても大きく深い金属の土台が入れられており被せ物の色調に影響を与えていましたが、すべて取りきることのリスクが高いため途中まで除去し目立ちにくいファイバーコアで補強と色調の改善を行いました。
- 費用(概算)
- 税込¥627,000-費用は治療当時の料金となります
正中離開(すきっ歯)
真ん中の歯が左右に開いてしまい隙間ができてしまう状態を「正中離開」といい、俗にすきっ歯と呼ばれています。
隙間を埋めていく方向に歯を移動させることで改善していくケースが多く、比較的治りやすい不正咬合のひとつとされています。
しかしながら、歯が捻じれていたり、噛み合う歯との位置関係によっては治療が難しくなる場合があります。
セラミック治療の注意事項(リスク・副作用など)
- 天然歯を削ります
- 硬い素材は天然歯を傷つけてしまう場合があります
- かみ合わせや歯ぎしりが強すぎる方はセラミックが割れてしまう可能性があります
- 自費診療(保険適用外治療)となります
当サイトの内容、テキスト、画像等の無断転載、複製、複写、盗用を固く禁じます。











