症例詳細
Case detail
目立たない矯正で口元の突出感を解消
治療症例の内容
- 診療科目
- 治療カテゴリ
- 担当医
- 河口智英(ドクタープロフィール)
- 患者様
- 20代女性
- 治療期間
- 2年
- 治療回数
- 30回以上
- 治療計画
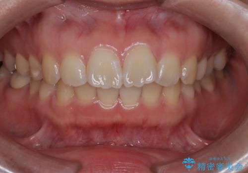
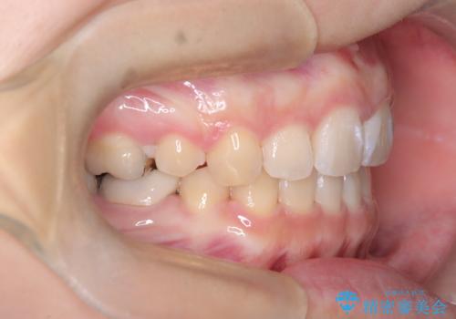
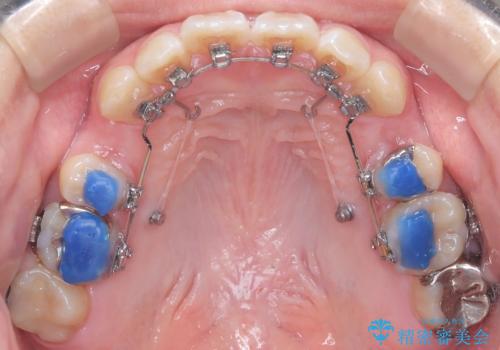
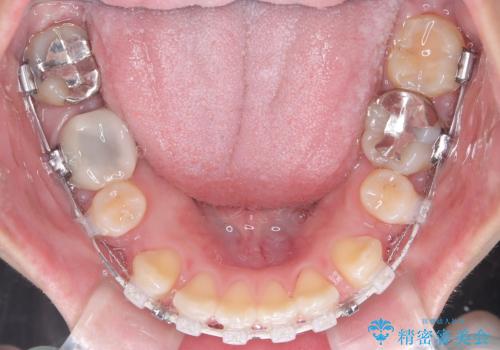
- 口元が出ている(突出している)ことを気にされて来院されました。精密な検査の結果、前歯を大きく後退させるスペースが必要と診断。患者様の**「前歯を下げたい」という強いご要望に応えるため、上下左右の第一小臼歯を抜歯し、そのスペースを利用して前歯を奥へ移動させる治療計画を立案しました。また、人目を気にせず治療できるよう、上顎に裏側矯正、下顎に表側矯正を組み合わせたハーフリンガル矯正**を提案しました。
- 費用(概算)
- 120万円費用は治療当時の料金となります
治療について
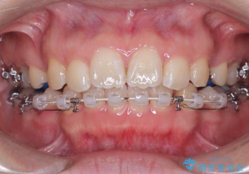
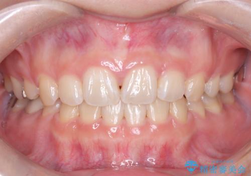
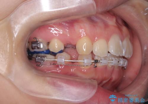
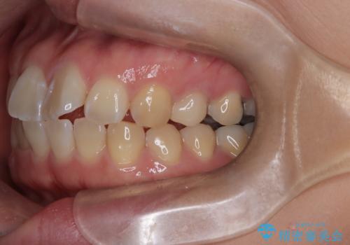
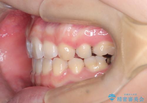
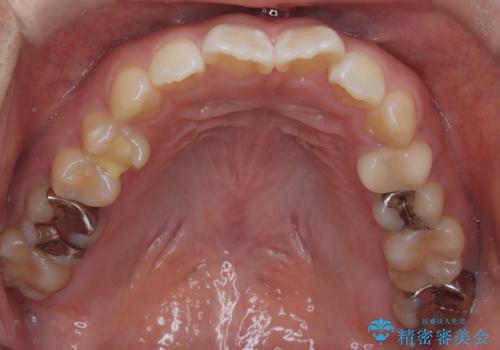
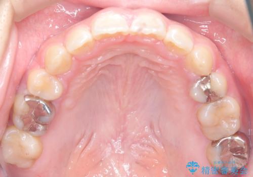
今回の矯正治療では、前歯を大きく後退させるスペースを確保するため、計画通り上下左右の第一小臼歯を抜歯しました。装置には、上顎には目立たない裏側矯正(舌側矯正)を、下顎には透明な審美ブラケットを使用するハーフリンガル矯正を採用しました。抜歯によってできたスペースを最大限に活用し、前歯を効率よく後方へ移動。治療の結果、口元の突出感が大幅に解消され、Eライン(横顔の美しさの基準)も改善しました。人目を気にすることなく治療を完遂し、自信の持てる美しい横顔を獲得していただけました。
ワイヤー矯正の注意事項(リスク・副作用など)
- 治療中は違和感や痛みが起こることがあります
- 症状により、抜歯が必要な場合があります
- 治療中は歯磨きがしにくくなるため、虫歯や歯周病になりやすくなります
- 矯正治療後の保定が不十分だと後戻り(元の位置に戻ろうとする動き)をします
- 自費診療(保険適用外)となります
当サイトの内容、テキスト、画像等の無断転載、複製、複写、盗用を固く禁じます。















