症例詳細
Case detail
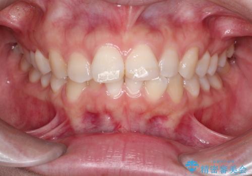
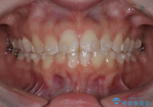
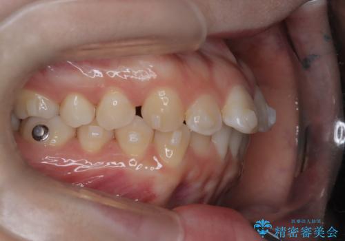
前歯のデコボコを、目立たない矯正で解消
治療症例の内容
- 診療科目
- 治療カテゴリ
- 担当医
- 河口智英(ドクタープロフィール)
- 患者様
- 20代女性
- 治療期間
- 治療回数
- 5-10回
- 治療計画
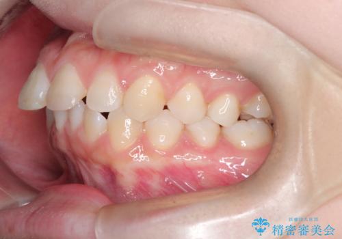
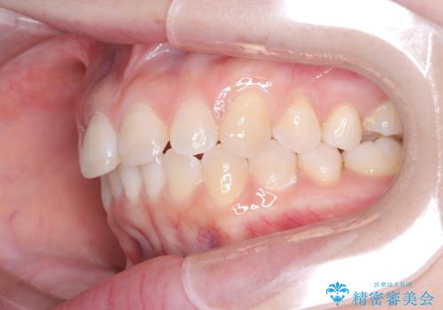
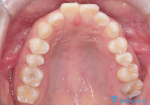
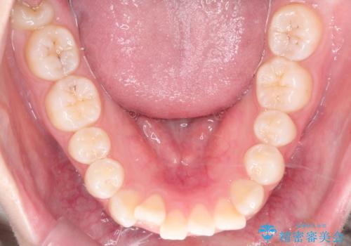
- 前歯のデコボコ(叢生)を気にされてご来院されました。精密な検査の結果、歯が並ぶスペースが不足していることが判明。患者様のご希望から、透明で目立ちにくいインビザライン(マウスピース矯正)による治療計画を立案しました。抜歯を避け、奥歯全体を奥へ動かす遠心移動という方法でスペースを確保し、前歯の叢生を解消することを目指します。
- 費用(概算)
- 75万円費用は治療当時の料金となります
治療について
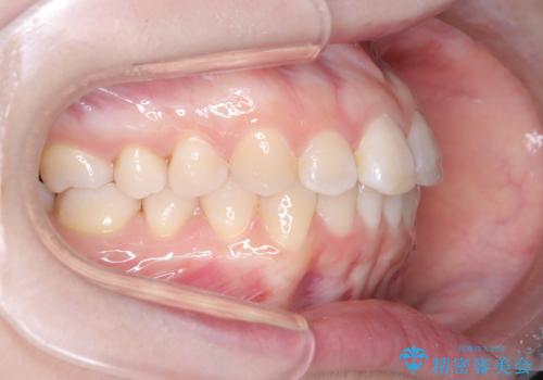
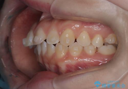
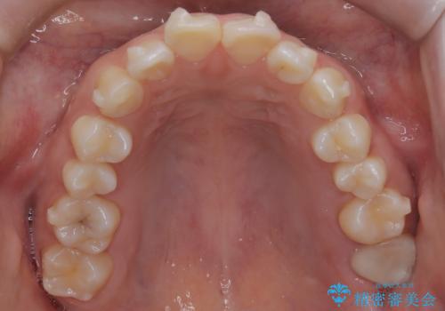
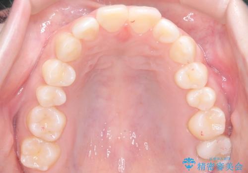
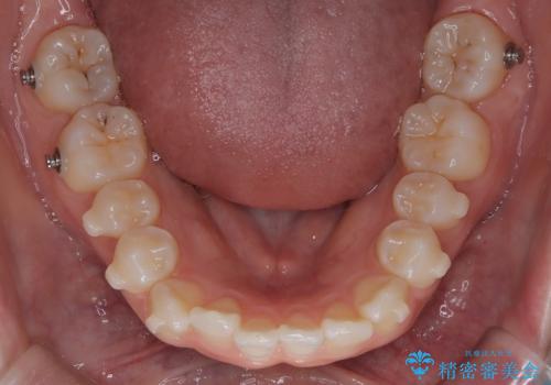
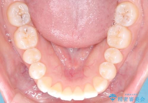
今回の矯正治療では、透明なマウスピース型の装置インビザラインを使用しました。この装置は取り外し可能で、日常生活で目立ちません。治療は、緻密に計算された計画に基づき、段階的に作製されたマウスピースを交換していくことで、奥歯から順に全体を後方へ移動させる遠心移動を実施。これにより、前歯を並べるための十分なスペースが確保され、デコボコが解消されました。抜歯することなく、機能的にも審美的にも整った美しい歯並びを獲得していただけました。
マウスピース矯正の注意事項(リスク・副作用など)
- 口腔内・歯並びの状態によっては対応できない場合があります
- マウスピース型矯正装置の長時間装着(1日20時間以上)が必須です
- 治療計画通りに進めるためには、患者様の意志が重要になります
- 矯正治療後の保定が不十分だと後戻り(元の位置に戻ろうとする動き)をします
- 薬機法対象外の矯正歯科装置のため医薬品副作用被害救済制度の対象外となる場合があります
- 自費診療(保険適用外)となります
当サイトの内容、テキスト、画像等の無断転載、複製、複写、盗用を固く禁じます。















